文献速递:人工智能医学影像分割--- PSMA-PET 提升了基于深度学习的自动化CT肾脏分割技术
文献速递:AI-based medical imaging segmentation—PSMA-PET enhanced the performance of automatic CT kidney segmentation techniques using deep learning.
01
文献速递介绍
最新研究表明,在使用177Lu标记的前列腺特异性膜抗原(PSMA)的放射性药物治疗(RPT)中发现其对去势抵抗性前列腺癌具有显著疗效。为了最大化肿瘤吸收剂量并减少对周围健康组织的损伤,在治疗过程中应尽可能提供高剂量的吸收剂。与传统RPT方法相比,在膀胱、颌下腺、腮腺及肾脏等部位出现更高的PSMA浓度积累现象更为明显,并可能导致治疗限制风险增加因此被识别为高风险器官之一为此建议评估肾脏吸收剂量及其累积量以优化治疗周期安排 kidney toxicity is a critical concern in PSMA-RPT. Determining kidney position size and shape typically requires MRI or CT scans which are essential for treatment planning. Manual segmentation by experienced operators remains the most accurate method but suffers from long processing times and inter- and intra-observer variability to address these challenges researchers have explored various automated segmentation techniques including deformable models and graph-based methods. Recent advancements in machine learning particularly convolutional neural networks (CNNs) have demonstrated their potential in accurately segmenting kidneys based on CT data. However current approaches relying solely on morphological features fall short of addressing limitations observed in manual segmentation. This study proposes integrating functional information from PSMA-PET images into existing morphological-based segmentation frameworks to enhance accuracy and reduce variability. Since PSMA-PET allows for easy detection of cystic kidney structures due to lower uptake levels this integration offers additional differentiation capability Furthermore the distinct metabolic patterns in kidneys liver and pancreas provide further means of distinguishing these organs which could significantly improve upon traditional morphological-based approaches. In this research we utilized a dataset comprising 108 manually segmented PSMA-PET/CT scans to train diverse CNN models for automated kidney segmentation. Advanced post-processing techniques were employed to leverage both pre- and post-segmentation PET information. Finally a board-certified nuclear medicine physician independently evaluated 100 additional cases using visual assessment for both automated methods with and without incorporating PET data
Title
题目
The PSMA-PET approach enhances deep learning-based automated CT scans of the kidneys, demonstrating their effectiveness as a basis for clinical applications.
PSMA-PET 提升了基于深度学习的自动化CT肾脏分割技术
Abstract
摘要
在放疗放射药制剂的剂量计算中,确定受治疗射线暴露的结构体积至关重要。对于许多放射药制剂来说,肾脏是一个重要的靶器官。为了减少肾脏分割所需的时间(通常仍需手动完成),近年来提出了多种基于深度学习方法的CT基自动分割方案。尽管到目前为止现有的自动分割方法都仅依赖CT信息数据来源),但本研究旨在考察整合PSMA-PET数据在自动性肾脏分割中的增益的价值
在影像性药物治疗领域的剂量学研究中,确定相关结构在治疗性X射线暴露下的体积具有重要意义,因为这些区域可能承受较大的辐射剂量,影响患者的健康与安全。其中肾组织通常被视为高放风险区域,因此其监测与保护显得尤为重要。为了提高肾脏分割效率,传统的手动分割方式仍被广泛采用,而近年来研究人员开发了许多基于深度学习算法的自动化分割模型,并主要依赖CT图像数据进行分析。然而,现有的自动分割技术多局限于CT图像数据的支持,因此结合PSMA-PET(Progression-Specific Markers for Prostate-Specific Anticancer)等分子成像技术的信息,以实现对肾部肿瘤转移部位更为精准地识别与定位将是本研究的核心目标
Methods
方法
总共进行了108次PET/CT检查(53例68Ga-PSMA-I/T以及55例18F-PSMA-1007),这些检查结果被归类整理后作为人工标注数据集的基础。随后由人工 examiner完成了这些数据集上所有患者的肾脏区域分割工作。对于每位受试者均经历两次分割:一次基于CT图像(详细)的分割处理与一次基于PET图像(粗略)的分割处理。我们应用了五种不同的UNet架构来实现肾部自动分割。为了评估这些方法的表现我们采用了独立测试数据集中的20名患者的数据并计算得到了以下指标:Dice分数体积偏差以及平均Hausdorff距离等量化指标此外还对系统性地采用自动化的肾部分割方法对额外的100名患者进行了视觉评估这些患者全部是由放射科医生完成操作并记录结果观察发现采用先通过PET粗略分割再输入到CT图像中的方法能够在所有方法中获得最佳效果这一方法较之仅依靠CT图像进行自动分割的方法表现出了显著的优势这一优势不仅体现在数量上更在质上面得到了临床医生的高度认可
该研究共收集了108例PET/CT检查(其中53例为68Ga-Ga-PSMA-I&T型和55例为18F-F-PSMA-1007型)并将其分为两组。研究人员建立了肾脏手动分割的数据基准库,并由专业检查员完成分割工作。对于每位受试者而言,在CT图像的基础上分别进行了两种分割:一种是详细的CT图像分割(基于CT信息),另一种是粗略的PET图像分割(基于PET信号)。随后又结合了多种U-Net架构的方法对数据集进行自动化肾脏分割实验:包括仅依赖CT图像、仅依赖PET图像(用于粗略分割)、整合了CT与PET图像双源输入、结合了基于PET预生成掩模的CT图像输入以及采用基于PET预生成掩模辅助下的自动CT图像分割方法等五种不同方案。为了评估这些方法的性能表现研究团队采用了包含Dice分数、体积偏差计算在内的多项量化指标,并从自动分割效率的角度对这些算法进行了性能对比分析。此外还安排了放射科医师对额外纳入的100例患者(即仅接受自动分割技术而不进行人工校准)进行影像切片自动分割结果的质量观察工作以获得临床反馈意见。研究结果表明引入基于PET预生成掩模辅助下的自动CT图像分割方案能够在所有测试方案中表现出最佳效果这一结论得到了量化分析的支持:在80%以上的病例中放射科医师更倾向于选择基于PET预生成掩模所引导下的自动化切片划分方法作为最佳解决方案
Conclusions
结论
This research indicates that incorporating pet-based pre-segmentation into deep learning-based kidney segmentation can lead to notable enhancements. The introduced approach has proven particularly advantageous for kidneys exhibiting cysts or those in close proximity to organs like the spleen, liver, or pancreas. Looking ahead, this innovation may not only substantially cut down on the time needed for dosimetry calculations but also yield enhanced outcomes.
研究表明,在采用基于PET预分割的方法下,深度学习在肾脏分割方面的表现得到了显著提升。尤其是针对携带囊肿且与脾脏、肝脏或胰腺等器官邻近的肾脏,在这种情况下该方法表现出特别的有效性。在将来,在应用这一技术时可能会减少所需的放射性剂量计算时间,并带来更好的结果
Figure
图

Figure 1. Architecture of the u-net used in this study.
图 1. 本研究中使用的U-Net架构。

Figure 2. 图示展示了基于U-Net的肾部分割方法在本研究中的应用情况。相比之下,A1和A2采用了直接从图像到分割的端到端训练方法;而A3至A5的方法则利用了两种不同的影像模态。其中,在步骤二中使用的U-网架构包括两种类型:橙色U-网采用单通道输入( orange U_net),而蓝色U_网采用双通道输入( blue U_net)。
图 2展示了本研究中所采用基于 U-Net 的肾脏分割方法的简要说明。尽管 A1 和 A2 方法采用了从图像直接到分割的端到端训练方式,但与之相比,A3 至 A5 方法充分利用了来自两种不同成像技术的数据信息.其中在第二步中应用了两通道输入:其中橙色 U-Net 仅使用单通道数据进行处理,而蓝色 U-Net 则采用了双通道输入方案

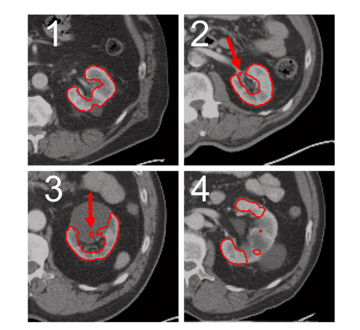
Figure 3 presents an exemplary depiction of automatically generated segmentation results for four scoring values. All segmentations were meticulously developed using only CT scans and method A1. The segmentation shown in Figure 3a, which received a rating of 1 (upper left, image A), exhibits no discernible inaccuracies. In Figure 3b, located at the top right (image B), an incorrect portion of the renal hilus was segmented (highlighted by a red arrow), leading to an assessment score of 2. Figure 3c, positioned at the bottom left (image C), includes parts of a cyst within its segmentation area (indicated by a red arrow) and was awarded a score of 3. Finally, Figure 4c, located at the lower right corner (image D) and given an assessment score of 4, reveals noticeable inaccuracies due to incomplete kidney segmentation as indicated by red arrows.
图 3展示了四种评分值自动生成分割的典型实例。所有分割均基于方法A1生成。对于评分为1的情况(位于左上角的图像1),未能识别出任何错误。右上方肾脏区域有一小部分未正确分离(由红色箭头标注),因此评分为2。左下角(图像3)展示了囊肿部分被包含在内的情况,因此评分为3。右下角对应的图像4显示了整体分离效果较为简单的情形

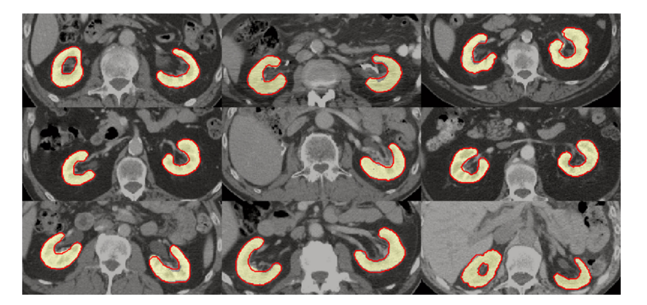
Figure 4. Examples of segmentations for nine patients in the test dataset. Yellow region represents manual segmentation, while red contour illustrates automated segmentation generated using method A5.
图 4 展示了测试数据集中九位患者的实例分割结果。其中,黄色区域表示人工标注的部分;而红色边界则对应于基于 A5 方法的自动生成

Figure 5 illustrates violin plots that demonstrate the performance of algorithms A1, A3, A4, and A5 across all evaluation metrics (dice score, volume deviation, and average Hausdorff distance) for both left and right kidneys. The white dot in each plot denotes the median value, while gray lines connect individual data points. In terms of segmentation accuracy, a more effective method is achieved when the dice score approaches 1 or when both volume deviation and average Hausdorff distance approach zero.
本研究采用小提琴图来展示方法A1、A3、A4和A5在各项评估指标的表现。从上至下依次为:Dice分数(DSC)、体积偏差及平均Hausdorff距离(AH)。这些图表分别对应左肾与右肾(每个小提琴图的左右部分)。白色标记表示数据集的中位数;灰色线条指示了数据点的位置。此外,在分割效果方面发现:分割效果越佳,则Dice分数越趋近于1或体积偏差及平均Hausdorff距离均趋近于零。

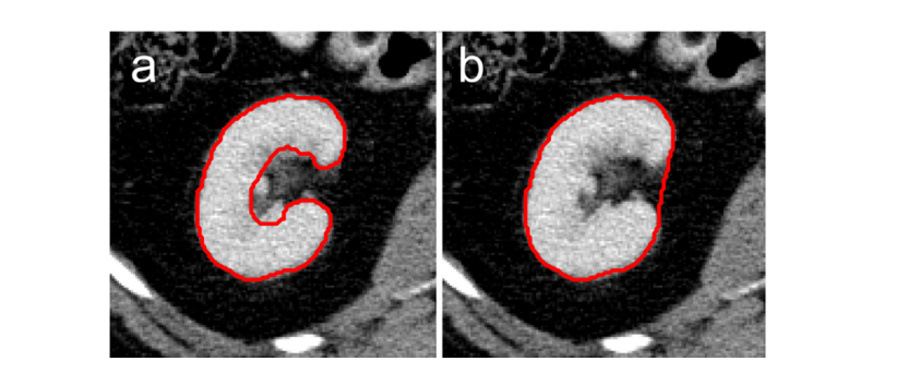
Figure 6展示了不同级别的肾区域分化的准确度对比图。a图展示了本研究采用的高分辨率分段方法,并特意排除了肾盂及其血管部分;b图则呈现了相对粗略的分段效果
图表 6展示了不同细分粒度下肾脏解剖结构的分割精度比较。a组采用了更为精细的空间细分策略,在不考虑肾盂及其相关血管组织的前提下完成了对主肾体腔区域(约55-75mm)以及主肾支管(约135-145mm)的空间定位;b组则采用了较为粗略的空间细分策略,在上述区域的基础上增加了对肾盂及其相关血管组织的部分解剖细节描述

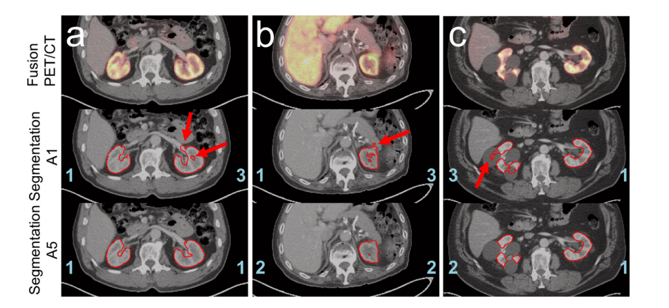
_Figure 7. Examples demonstrating the advantages of a pre-segmentation method. A5. The PET/CT fusion images (top), CT scans showing segmentation contours generated by approach A1 (middle), and those using method A5’s segmentation contours (bottom) were analyzed based on clinical data from three patients. The assigned scores for each segmentation were marked in blue, while any mentioned artifacts are highlighted in red arrows: a: when using approach A1, excessive left renal hilus was segmented, along with a visible hole in the left kidney marrow. In contrast, method A5 avoids these issues entirely. b: both approaches identified missing right kidney tissue; however, approach A1 erroneously included part of the pancreas in its segmentation, whereas this artifact is absent with presegmentation method A5. c: for patients with large renal cysts, approach A1 showed significant difficulties distinguishing between renal tissue and cyst content, leading to substantial misclassification of cystic regions. Method A5 proved far more effective at segmenting kidney tissue while excluding cysts entirely.]
图 7 以展示预分割方法 A5 优势为例
Table
表

Table 1 Summary of applied segmentation approaches A1 to A5.
表 1 应用的分割方法A1至A5的总结。

The table below lists the classification of scoring values for the visual evaluation of segmentations.
表 2 分割视觉评估得分值的分类。

TABLE 3展示了平均Dice分数(DSC)、体积偏差以及平均Hausdorff距离(AHD)在手动与自动分割之间的对比情况。其中的标准偏差值均标注在圆括号内。除PET分割A2外的所有指标均以粗体显示其最佳值。通过分析可以看出,在所有三个指标上,A1,A3,A4与A5方法之间均存在显著差异.
表格3展示了手动分割与自动分割在三个关键指标——Dice分数均值(DSC)、体积差异以及Hausdorff距离均值(AHD)——上的对比结果。每个指标的标准差数值用括号标注。其中,在除了PET分割样本中采用算法A2外的所有其他情况下,各评估指标的最佳得分类别都被加粗显示。通过对比可以看出,在各个评估指标上,算法组别间的方法间差异已经得到了显著标记

TABLE 4 Measured frequency of assigned scores in the 100 automatically performed nonmanual segmentations
表 4 分配给100个非手动分割的自动分割的视觉评分的绝对频率
