文献速递:人工智能医学影像分割---人工智能辅助的CT分割用于体成分分析:一项验证研究
快报:基于AI的医学影像解析——人工智能辅助的CT图像在体成分分析中的应用研究(一)
Title
题目
Artificial intelligence-aided CT segmentation assisted by AI in the assessment of body composition: the validation study
人工智能辅助的CT分割用于体成分分析:一项验证研究
Abstract -Background
摘要-背景
In oncological patients, body composition is linked to survival outcomes, though it is typically not quantified. Manual segmentation of subcutaneous adipose tissue (SAT) and muscle is both laborious and thus restricted to single CT slices. The aim of our study was to devise an AI-driven methodology for the automated assessment of three-dimensional SAT and muscle volumes derived from CT imaging data.
组织成分与肿瘤患者的生存率相关但常规计算通常不会采用
Methods
方法
Ethical approvals were successfully obtained from the University of Gothenburg and Lund. Convolutional neural networks were developed for segmentation, employing manual delineations on CT images from a training set of 50 patients. The approach was tested on an independent validation cohort comprising 74 patients with cancer, each undergoing two CT scans at intervals of three days apart. Manual delineation in each individual CT slice served as the reference standard for comparison purposes. The assessment relied on measuring the overlap between automated segmentation results and manual delineations._
从哥德堡大学和隆德大学获得了伦理委员会的批准。基于50名受试者的CT图像手动分界区域构建了卷积神经网络模型用于SAT和肌肉区域的分割研究。该方法被成功应用于另一个包含74位癌症患者的独立测试组样本群每位受试者均接受了两次CT扫描且两次扫描间的中位间隔控制在三天内。研究者采用单个CT切片中的手动分界区域作为基准进行模型验证其准确性通过计算自动分割与手动分割区域的重叠程度来评估
Results
结果
AI方法在SAT上的准确度达到了R^2=8%,而在肌肉方面的准确度为R^2=7%。在单个CT切片中,在一个受试者中的预测体积与实际面积之间的差异约为±25%,且这种差异具有统计学意义(p<P)。
该系统在评估准确度方面的性能对比研究显示,在SAT任务上其准确率达到96%,而在肌肉相关任务上的准确率则达到了94%。研究结果表明,在个体CT扫描的基础上进行体态预测时所获得的数据量与真实情况相比具有显著差异性:具体而言,在SAT任务中预测数据量与实际数据量之间的差异仅为1.8%(p < 0.001),而在肌肉相关任务中这一差异则扩大至1.9%,但仍然显著低于单独一个CT切片所带来的体积变化(p < 0.001)。基于每一份CT扫描数据所建立的预测模型能够实现对个体体态变化的精准描述:对于每位受试者而言,在95%置信水平下的预测值与实际值之间的误差范围约为±20%。
Conclusions
结论
An AI-based quantification tool for SAT and muscle volumes demonstrated high precision and consistency, generating body composition data that is more accurate than manual analysis of a single CT slice.
该AI驱动的量化方法在评估SAT表现和肌肉体积时展现出卓越的准确性与一致性,并且其体成分分析功能超越了单一CT切片的手动评估方法,在相关性方面表现更为突出。
Figure
图

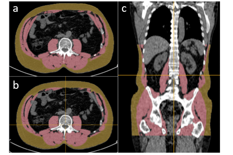
Fig. 1 Manual vs. AI segmentation of SAT and muscle. On a CT slice at L3 level, the left side shows manual segmentation (a) and detailed visualization of AI segmentation (b). A coronal slice demonstrates how the AI-based 3D reconstruction from T11 extends down to the hip bone ©. The measurements reveal that manual areas for SAT amount to 186 cm² compared to approximately 170 cm² for muscle tissue; conversely, AI-based methods measure slightly smaller areas of around 184 cm² for SAT but show even more refined divisions with volumes of approximately 6,832 cm³ for SAT regions compared to nearly identical muscle volumes of about 8,253 cm³._
图1展示了SAT与肌肉组织在手动分割与基于人工智能(AI)辅助分割下的对比。左侧切片显示,在L3水平的CT扫描中分别进行了手动分割(a)与基于AI算法的自动分割(b)。冠状切片展示了从T11到髋骨的基于AI算法生成的人工智能驱动三维分割结果(c)。测量结果表明,在手动分割条件下获得的区域面积分别为SAT 186 cm²、肌肉组织170 cm²;而在基于AI辅助下的区域面积分别为SAT 184 cm²、肌肉组织158 cm²;体积方面,则分别为SAT 6,832 cm³、肌肉组织8,253 cm³。此外,人工智能技术的应用显著提高了对皮下脂肪区域 SAT 的识别精度。

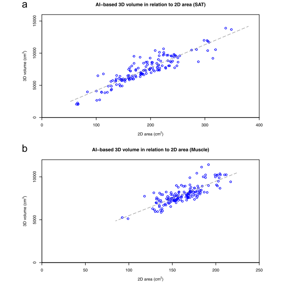
The relationship between AI-driven three-dimensional volumes and L3 section two-dimensional areas was examined in both SAT (a) and muscle (b) categories across data from 148 CT scans of 74 patients. The abbreviations stand as follows: Two-dimensional (2D), Three-dimensional (3D), Artificial intelligence (AI), and Subcutaneous fat (SAT).
在148次计算机断层扫描研究中发现,在74名患者的L3切片样本中进行分析时
Table
表

Table 1: Subcutaneous fat tissue regions and muscle areas' volumes derived from manual segmentation workflows in a test cohort comprising 74 participants across two independent studies, with each study involving multiple scans.
表1对照组(74例受试者,每位受试者参与两次研究)中的皮下脂肪组织及其肌肉面积与体积,在采用手动分割与基于人工智能的分割方法进行计算后获得.
