医学图像处理_医学图像处理案例(十八)——肺部血管分割案例
今天分享了人体肺部血管分割并生成三维模型的案例。使用的数据来自VESSEL12挑战赛的公开数据集《VESsel SEgmentation in the Lung 2012》,该挑战赛的任务是从肺部CT图像中使用自动或半自动方法分割出肺部血管区域图像。为了得到肺部整体区域,在这一步骤中可以跳过对血管区域的处理操作。
为了提高图像质量并增强血管区域的可见性,采用Hessian矩阵技术进行增强处理。增强后的血管区域图像显示为明亮的结构,并通过阈值分割方法提取出特征明显的血管区域图像。
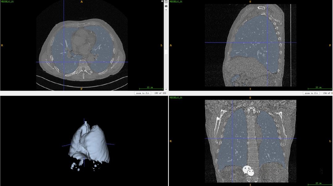
最终将该区域与原始CT图像结合,生成了完整的肺部血管三维模型结果。
在之前的推送中,我已经介绍了肺部图像分割实例以及脑血管分割实例.其中一位读者问我是否有兴趣了解关于肺部血管分割的技术,并希望能学习相关的案例教学内容.今天打算深入探讨人体肺部血管分割技术及其生成三维模型的方法.
一、VESSEL12挑战赛简介

今天的数据源自公开数据集VESSEL12《VESsel SEgmentation in the Lung 2012》。本挑战的目标是从肺部CT图像中采用自动化或半自动化的方法提取肺动脉区域。然而该挑战赛仅提供原始CT图像以及对应的肺部区域Mask图。
今天的数据源自公开数据集VESSEL12《VESsel SEgmentation in the Lung 2012》。本挑战的目标是从肺部CT图像中采用自动化或半自动化的方法提取肺动脉区域。然而该挑战赛仅提供原始CT图像以及对应的肺部区域Mask图。
二、VESSEL12的肺分割
我们可以直接调用挑战赛提供的Mask以省略这一步骤。然而,在深入理解之前的内容后我们有必要回顾医学图像处理案例(一)——基于CT图像的肺部分割这一主题其主要流程包含六项关键步骤:首先在观察CT图像时发现存在噪声现象因此我们选择应用中值滤波器有效去除噪声影响;其次通过大津阈值算法实现图像分割;随后我们需要分离背景成分;在此基础上尽可能消除对分割无用的干扰信息;接着我们致力于重建肺部边缘轮廓线;最后能够明确确定出完整的肺部组织区域范围。

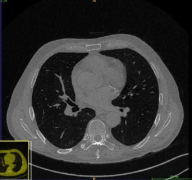
在原始CT图像中可见的是较大的噪声水平,在这种情况下会影响到后续的肺部分割过程。为此,在此阶段我们采用了中值滤波作为预处理手段以减少这一问题的影响。经过中值滤波处理后可以看出大部分噪声已被有效抑制然而这种现象并不会对我们后续的目标造成困扰因为我们的主要目标是提取出完整的肺部区域范围因此在这一操作完成后我们可以合理地忽略掉其中可能存在的残留干扰信息

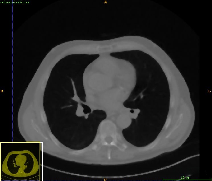
最后得到肺部区域图像如下所示。

二、VESSEL12的肺部血管增强处理
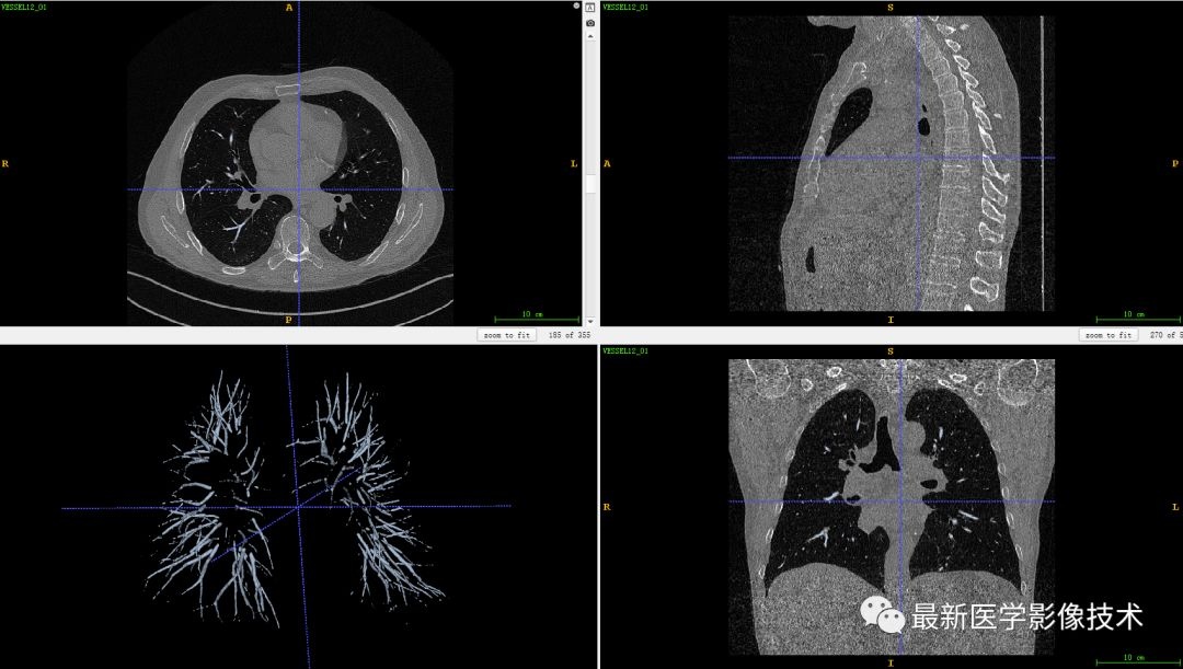
在之前的讨论中提到过一种有效的方法是利用Hessian矩阵对血管区域进行增强,在医学图像处理案例(六)——生成血管三维模型中对此进行了详细阐述。其中,我们采用的是一个由多维变量函数的一系列二阶偏导数组成的方阵来进行操作,并通过分析其特征值分布特性来进行管状结构检测。经过这一过程后,在增强后的血管区域图像中可以看出明显的增强效果

三、VESSEL12的肺部血管分割提取
通过对比度增强处理后得到的血管区域呈现出明显的明亮特征,在后续处理中我们采用了一种基于阈值的二值化方法对增强后的图像进行分割。具体而言,在完成上述操作后生成的结果中仅保留了具有显著特征的血管区域轮廓。这一过程能够有效地区分出不同类型的血管结构。

最后,我们将该区域与原始图像进行结合,生成肺部血管三维模型结果。

