医学图像处理_医学图像处理案例(十九)——肺部气管分割案例
在先前的文章中已详细阐述了肺部气管分割案例, 当时采用的是基于区域增长的方法实现了精准化操作, 今天介绍另一种基于改进算法的技术流程用于完成肺部气管分割并生成三维模型的过程。
一、VESSEL12挑战赛简介

今天用到的数据源自公开发布的VESSEL12《VESsel SEgmentation in the Lung 2012》数据集。该挑战赛旨在通过使用自动或半自动的方法从肺部CT扫描图像中提取出肺动脉区域的影像图谱。然而,在该挑战赛提供的数据集中仅包含原始CT扫描图像及其对应的肺部区域Mask图象。更多详细信息可参考原文链接
二、VESSEL12的肺分割
在本案例中,我们可以直接调用挑战赛提供的Mask来省略这一步骤的处理。而在本案例中,则对之前的医学图像处理案例(一)——基于CT图像的肺分割进行了深入分析与拓展研究,在这一过程中主要包含了六项关键步骤:首先,在观察图像时会发现存在一定的噪声干扰,并通过应用中值滤波器来去除这些噪声影响;其次,在进行图像分割时采用了大津阈值法作为主要手段;第三步则是对背景目标进行识别并予以剔除;第四步则重点进行了对噪声信息的尽量去除;第五步是对肺部轮廓边缘进行重构;第六步则最终实现了肺部组织区域的提取与确定。

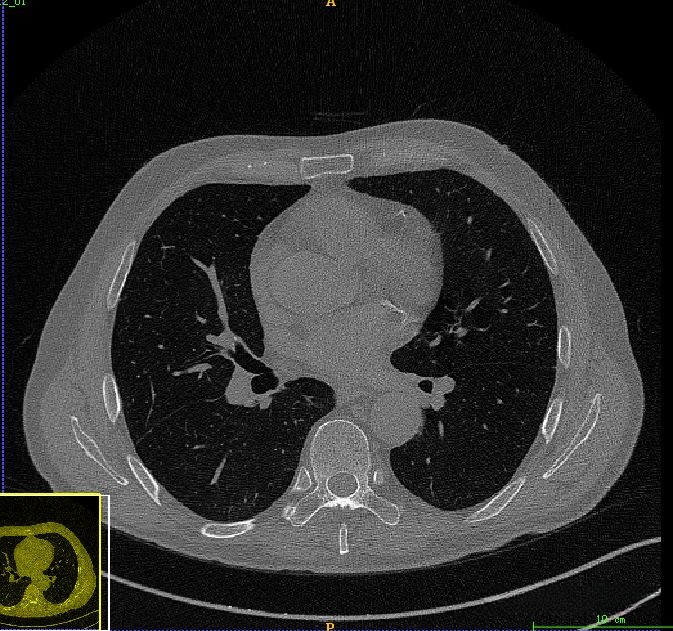
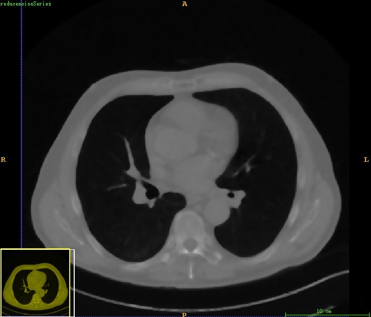
在原始CT图像上观察到存在明显的噪声干扰,在后续的肺部分割过程中可能会受到一定影响为此处采用了中值滤波方法来进行预处理经过中值滤波处理后图像中的噪声得到了有效的抑制值得注意的是在此过程中血管信息也会被一定程度地抑制但这并不影响整体效果这一预处理步骤的主要目的是为了获得较为完整的肺部区域信息

最后得到肺部区域图像如下所示。

三、VESSEL12的肺部气管分割提取
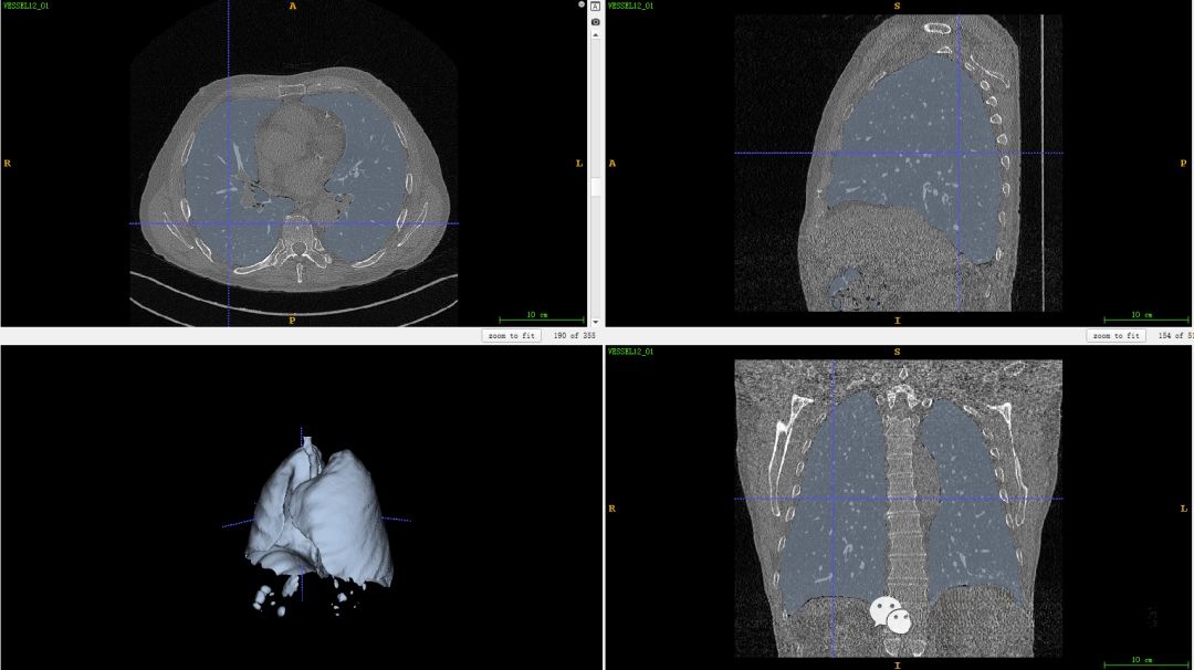
之前文章也说过可以采用Hessian矩阵来增强血管区域,医学图像处理案例(六)——生成血管三维模型所以这里利用Hessian矩阵是多维变量函数的二阶偏导数矩阵,根据其特征值的属性来检测管状类的结构,例如三维Hessian的特征值有lambda_1,lambda_2和lambda_3。 明亮的管状结构有 低的lambda_1和大的lambda_2和lambda_3负值。 相反, 暗管状结构时lambda_1值较低,lambda_2和lambda_3的正值较大。 明亮的板状结构具有较低的lambda_1和lambda_2值以及较大的lambda_3负值。暗的板状结构具有较低的lambda_1和lambda_2值以及较大的lambda_3正值。明亮的球形(斑点)结构具有所有三个特征值都是较大的负数。暗的球形(斑点)结构将具有三个特征值都是较大的正数。所以我们可以通过选择特征值来增强气管区域。 增强后的气管区域还需要阈值分割处理,如下图所示。

四、VESSEL12的肺部气管区域后处理
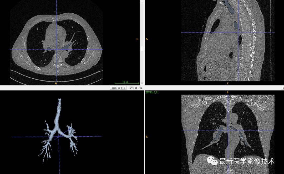
观察到从上图可以看出气管区域得到了显著增强的同时还需要注意并非所有增强的区域都属于气管因此需要对这些非气管但被增强的区域进行去除处理在此阶段采用最大连通域算法来进行后续处理具体效果如图所示最终能够清晰识别出具有显著特征的气管区域轮廓

最后,我们将该区域与原始图像进行结合,生成肺部气管三维模型结果。

