三维图像处理_医学图像处理案例(六)——生成血管三维模型
在之前的综述中已经介绍了人体肋骨与肺组织分割生成三维模型的具体案例。今天我们将继续介绍人体脑部血管分割并建立其对应的三维模型的过程。
1、导入MRA图像
大多数人都对MRI的基本概念已经有清晰的理解。然而对于MRA的相关知识可能还不够熟悉。让我简要介绍一下它们之间的关系吧。全称是磁共振成像技术而其中一种常见的类型就是磁共振血管造影(MRA)。其核心应用领域就是血管造影技术。采用TOF或PC方法实现动态血液图像捕捉通过多角度整合重建(MIP)技术优化血管结构展示效果可以从不同角度来观察血管分支及走向
2、利用Hessian矩阵的特征值提取血管结构
Hessian矩阵是描述多维变量函数二阶偏导数的重要工具,在其特征值属性中蕴含着丰富的血管结构信息。
在3维情况下(如Hessian),其特征值包括λ₁、λ₂和λ₃。
在较高亮度下观察到的管状结构特征表现为较小的λ₁及较大的负向λ₂和λ₃。
而较低亮度下出现的管状结构表现出较小的λ₁及较大的正向λ₂和λ₃。
较高亮度下的板状结构特征显示较小的λ₁与λ₂及显著负向的大于零方向上的大数值表现出来的较大绝对值。
相反,在较低亮度下的板状结构则由三个显著正向的大数值组成。
最后,在所有三个方向上的较大绝对数值均呈现负号的情况下,则表明该斑块呈现出明显的球形形态。
如果所有三个方向上的较大绝对数值均为正值,则表明该斑块呈现出典型的圆形斑块形态。
3、利用ITK函数来实现血管提取
该研究论文中所提出的方法及其在ITK框架下的实现形式
itk::Hessian3DToVesselnessMeasureImageFilter和
itk::HessianRecursiveGaussianImageFilter的具体代码实现可参考原文链接。建议按照前述论文中的设定进行参数配置。
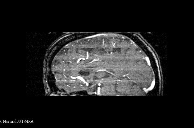
4、血管提取效果
如图所示的第一个图像展示了原始MRA扫描结果(Magnetic Resonance Angiography),其中在颅内可见一束明显的血管结构;第二个图像基于Hessian矩阵处理后得到血管区域分布;通过观察各幅图像效果可以看出该方法在血管定位方面表现较为准确;整体显示良好


接下来我们对图像进行三维重建,如图所示。

最后将所有功能代码集成到UI上去。

