新冠肺炎的诊断与临床症状
发布时间
阅读量:
阅读量
病毒机理:
- S蛋白与人体敏感细胞的表面受体ACE2结合,后者介导病毒进入靶细胞进一步复制
- covid-19肺炎的机理是过激的免疫反应制造的大量自由基引起的器官损伤
- 病毒入侵后免疫系统反击,巨噬细胞、中性粒细胞释放出大量自由基,与细胞的蛋白、DNA反应使细胞死亡,导致器官损害
- 血清细胞因子水平较高,提示可能发生细胞因子风暴。
病变早期病理表现:
- 水肿、带球状的蛋白质渗出物
- 少量炎性细胞浸润的肺细胞局灶性增生和多核巨细胞
- 透明膜并不突出
临床特征:
- 潜伏期:0-24,中位数3
- 发热、乏力、干咳
- 重症患者呼吸困难
- 严重者进展为急性呼吸窘迫综合征(ARDS)、难以纠正的代谢性酸中毒和出血凝血障碍
- 实验室检查:
1. 发病早期白细胞总数正常活降低、淋巴细胞分类计数减少,血清c反应蛋白增高
2. SARS-CoV-2核酸检测阳性
影像学表现:
1、胸片,CT
2、主要征象:胸膜增厚,支气管扩张
3、病变分布:主要在肺泡,重症时弥漫性


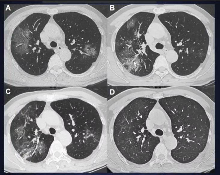
基于CT表现的病变分期
- 早期:病变局限;胸膜下/支气管血管束分布;结节斑片状GGO,其内血管影、间隔增厚
- 进展:病灶增多,范围扩大;铺路石征明显,磨玻璃影与时变共存;局部结构扭曲,支气管扩张
- 重症:双肺弥漫性浸润,实变+磨玻璃影,少量胸水等

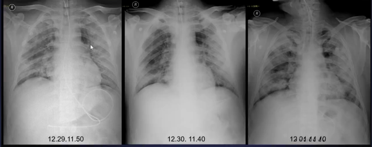
CT患者某一加重过程

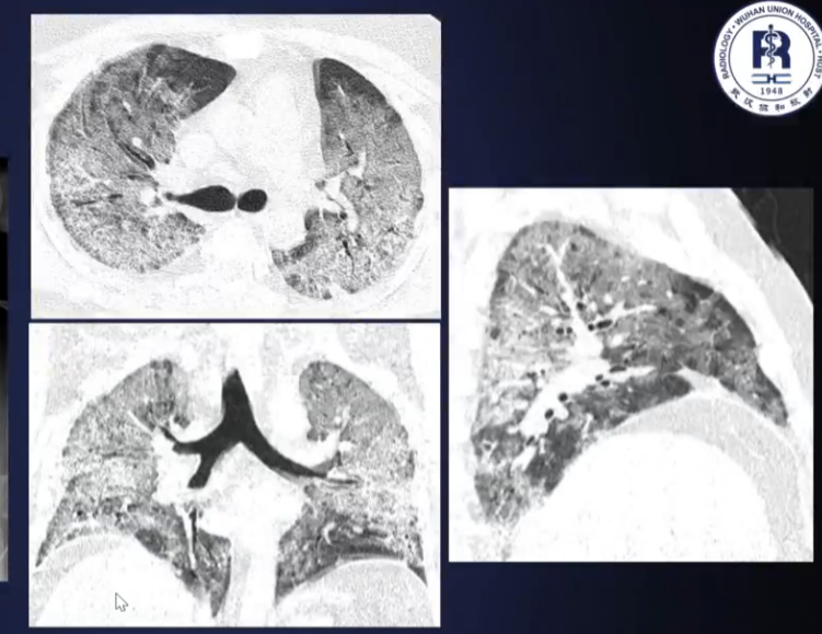
重型表现

与AI结合
- 智能自动扫描:自动摆位、运动检测、体态建模、姿态感知、信息验证
- 量化评估:根据分割得到感染区域大小、百分比
- 三维可视化
- 去骨
全部评论 (0)
还没有任何评论哟~
