肺癌影像智能诊断项目
1 项目背景
肺癌因其发病率及死亡率在过去五十年中快速增长而成为对人类健康构成严重威胁的最大恶性肿瘤之一。

2 项目目标与流程
本项目利用真实脱敏病人的肺部CT影像数据集开展研究,并结合深度学习技术开发智能算法用于肺结节检测及肺癌诊断系统建设工作。
本研究采用MHD与DICOM两种数据格式的数据集作为基础材料。
其中,MHD格式的数据集主要应用于肺结节检测模型的训练,DICOM格式的数据集则用于肺癌诊断模型的训练与评估工作。
在具体实施过程中,首先对两种数据格式进行预处理,包括图像采样、进行肺实质分割以及进行像素值转换等基础操作。
随后,基于U-Net网络架构构建完整的肺结节检测模型。
根据该模型输出的结果信息,进一步搭建肺癌诊断系统。
最后,对整个诊断系统的预测效果进行了详细分析并总结评估结果。
研究项目的完整流程图如图所示:

3 数据集描述与CT图像简介
计算机断层扫描(Computer Tomography, CT)成像系统通过X射线束与高灵敏度探测器协同作用,在人体某一特定部位进行扫描而形成二维断层影像。 chest CT成像系统生成一系列连续的横断面图像切片, 其中包含从数十到数百张不等的高分辨率横断面. 如果将所有切片叠加后构建起完整的3D人体胸腔模型, 如下图所示:


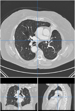
在进行 lung CT image slicing时,在图像中间较暗的区域属于人体胸腔的主要器官之一——即所谓的" lung parenchyma"部分;而位于较高亮度区域的组织包括血管和空气等器官系统。 lung nodules通常会聚集在其对应的 parenchyma 区域内。如图所示,在该切片中可见一个含有的 lung nodule标本:
4 肺部CT图像预处理(MHD格式数据)
本研究采用MHD格式的数据集来主要负责训练肺结节检测模型。由于CT设备的工作参数存在差异导致各患者的CT图像呈现出不同的分辨率特征这会严重影响模型的有效训练。然而在这些复杂条件下人体外围组织或背景元素对肺结节检测过程仍然会产生一定干扰因此在肺部CT图像预处理阶段发挥着至关重要的作用如图所示展示了MHD格式数据预处理的具体流程

