unet知乎_对基于深度学习的医学图像分割的一些理解

确定了图像语义分割技术这个方向已历时半年多,其研究的具体方向是依托深度学习技术进行医学图像分割.就阶段性成果做一个简要总结.
一、医学图像的突出特征
总体上来说,医学图像相比于自然图像(通过可见光成像)有以下四点区别:
医学图像的模态呈现更多样化。其中还包括一些常见的RGB图像(如眼底视网膜图像)。不同模态所反映的信息侧重点有所不同:例如X-ray能清晰显示骨骼结构;CT可直观显示组织和器官是否存在出血;MRI则更适合于观察软组织情况。此外,在不同型号的成像设备下所获得的成像结果存在一定差异性。
2、医学图像的像素值范围与自然图像(0~255)有很大差别,如CT一般会上千。
3、噪声。受成像设备、成像原理以及个体间存在的差异等因素影响,在实际应用中医学图像通常含有较多的噪声。不同区域间的约束特性相互独立,在有效去除噪音的同时必须注意保护图像中的细节信息。
所谓伪影。所谓伪影一般在图像配准或三维重建的过程中出现(例如CT扫描)。理论上而言,在实际应用中只能减少而无法彻底消除。
举例而言,在下图中展示了一种肺部CT切片的可视化结果。该图像经过预处理后已被转换为灰度图像状态,并呈现明显的组织与器官界限。而图二则展示了不同个体的脑MRI图像数据,则显示出显著差异性特征。这对脑组织的具体提取工作而言确实存在诸多挑战性问题。

图一 肺部CT图像

图二 不同个体的脑MRI成像结果
二 分割目标
在医学图像数据处理中,在明确确定分割的目标是什么的基础上(即是要用于提取病变区域、器官轮廓或是进行组织分隔的目的),不同类型的器官或组织有不同的细分目标。例如:如脑组织切片中的肿瘤识别、颅内病变区域划分或是肺部结节形态分析等具体任务。单独的任务难以由一个统一模型高效处理;而将它们整合在一起反而会导致对已有的知识或经验缺乏有效的利用(从而可能降低整体性能)。

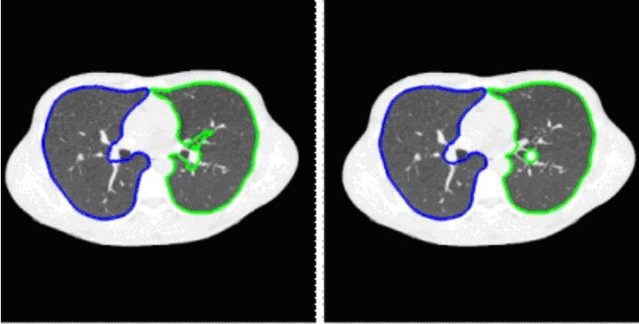
肺部CT图像分割结果
本图展示了肺部CT图像的分割结果。其中左侧区域是基于深度学习(DL)的网络分割成果,右侧区域则是人工分割的结果.通过对比可以看出,在医学图像处理方面基于深度学习的效果表现得非常接近人工处理的结果.

心脏器官分割
心脏器官分割也是类似肺叶分割,需要将心脏分为这六个部分:
左心室血腔(the left ventricle blood cavity, LV)
左心室心肌(the myocardium of the left ventricle, Myo)
右心室血腔(the right ventricle blood cavity, RV)
左心房血腔(the left atrium blood cavity, LA)
右心房血腔(te right atrium blood cavity, RA)
升主动脉(the ascending aorta, AA)
肺动脉(the pulmonary artery, PA)
对于不同的任务需求,还可以引入特殊的先验知识来提高精度。
三、关于模型的理解
这些差异只是我对这一领域的个人浅薄认识吧?毕竟我不是医学专业人士嘛。从观察来看呢?这些差异对基于深度学习的医学图像分割影响其实并不算太大呀!换言之呢?自然图像分割表现卓越的网络完全可以直接迁移至医学领域嘛!无论是正反方向都是如此!至于具体效果如何?可能只有经过实际训练后才能知曉了!其中非常著名的是FCN、SegNet和U-Net等技术吧?其中U-Net首次发表于MICCAI会议呢!当然啦!为了高效设计训练模型嘛!我们需要结合数据特点来进行网络架构设计哦!例如待分割对象的具体尺寸范围是怎样的?是二维还是三维之类的?此外还有一些其他因素也需要考虑进去呢!说起来也是挺有意思的嘛!估计未来网络模型的设计将面临更大的挑战了呢

肺叶分割示意图
我认为运用深度学习技术进行医学图像处理其核心工作集中在数据预处理阶段具体而言需完成以下几项关键任务:1. 深入了解医学影像的类型及其特征;2. 开发适合提升目标特征显著性的预处理手段;3. 将原始数据转换为能够满足深度学习需求的数据格式。这些环节也是自然与医疗领域图像处理间的难点所在后续我会逐一展开讨论
