深度医疗(2) - 基于深度学习乳腺癌诊断识别
本文介绍了通过深度学习进行乳腺癌识别的应用,在概述部分详细描述了乳腺癌的医学背景及其在全球癌症中的重要性,并提到99%的乳腺癌发生在女性身上且死亡率极高。文章还介绍了用于乳腺癌诊断的数据集信息:包含82名患者的9109张乳腺肿瘤组织显微图像,图片分辨率及通道设置等细节,并指出该数据库由巴西巴拉那P&D实验室病理解剖学和细胞病理学合作建立。此外,在神经网络结构部分提到使用类似AlexNet的网络架构进行分类,并分析了训练后的误差和准确度收敛状态及存在的问题(如数据有限性、两类分类问题等)。文章最后提到未来可以进一步区分不同类型的良性与恶性肿瘤并修改神经网络实现这一功能。
该研究项目由笔者基于深度学习技术开展相关研究与应用开发,并经过系统性的整理与优化输出了完整的教学资料。通过分享希望能与同行以及广大读者共同探讨、交流经验,并寻求更优解决方案。作为一名普通的从业者,在大数据及人工智能领域拥有较为深入的研究与实践经验。在实践过程中难免存在不足之处或对某些问题理解不够深入的地方,请各位同行专家多多包涵并提出宝贵意见。同时我也坚信,在_depth_learning_技术与传统医学深度融合的过程中,必然能够打造出性能卓越,服务社会的_depth_medical_system。
课程名称:深度医疗(2) - 阿里云乳腺癌诊断与识别
课程简介:该课程系统深入讲解深度学习在乳腺癌诊断与识别领域的最新研究与实践方法
本文重点阐述了基于深度学习技术实现乳腺癌识别的方法。首先简要概述了乳腺癌的医学背景及相关知识储备。随后介绍了可获取的公开乳腺癌数据集及其特点。最后详细阐述了神经网络的具体实现方法及其处理效果,并进行了相应的性能分析。
1.概述
基于世界卫生组织发布的全球癌症统计数据显示,在2012年 alone, 癌症导致了820万人的死亡;而到本世纪末前 decade, 新增病例预计将达到 3 倍规模(数据来源: World Health Organization)。作为最常见的恶性肿瘤之一, 题目中的数据表明, 乳腺癌在所有恶性肿瘤中占据主导地位;相比其他类型的恶性肿瘤, 乳腺癌具有显著的高死亡率特征。作为一种特殊的实体结构, 乳腺癌起源于人类雌性乳房中的乳腺腺上皮组织;The incidence of breast cancer among women far exceeds that of men.

2.数据集
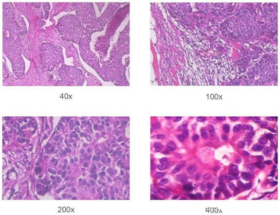
包含了来自82名患者的91,913张乳腺肿瘤组织显微图像的数据集。这些图像按照不同的放大倍率(如4x, 1x, 2x和4x)拍摄,并以PNG格式存储。每个组的图像均基于不同放大倍率拍摄,并且包含红绿蓝三种颜色通道(RGB)。此外,在单色模式下采用8位深度表示图像是足够的细节量。该数据库中每张图片的标准分辨率为768×512像素大小。
该数据库由巴西巴拉那州P&D实验室在病理解剖学和细胞病理学领域开展合作而建立(http://www.prevencaoe.e.com.br)。 该数据集按肿瘤性质划分为良性与恶性两类,在此分类中包含2,480例良性病例及5,429例恶性病例。 在乳腺领域,四种常见良性肿瘤类型包括腺病(A)、纤维腺瘤(F)、叶状肿瘤(PT)以及管状腺瘤(TA)。 在乳腺癌谱系中,则有癌症(DC)、小叶癌(LC)、粘液癌(MC)以及乳头状癌四种主要类型。
benign – 良性

malignant – 恶性

3.数据提取
所有病变文件夹均包含四种分辨率的图片:
49.196.28.176  该集合被划分为训练样本与验证样本两组,
其中一组用于模型训练,
另一组用于模型验证。
每组又进一步细分为良性样本与恶性样本两种类型。

4.神经网络结构
在数据提取过程中将样本分为良性与恶性两类,在后续实施深度学习训练时就必然导致分类结果只能是良性或恶性两种类型

训练结束后的误差和准确度的收敛状态

从收敛状态分析可以看出震荡幅度较大其成因主要包括以下几个方面:一是训练样本数量有限导致数据特征不够充分光滑二是仅涉及两类分类问题基于门限值为0.5的划分标准当判定结果处于较低区间时(例如在[−∞, 0.1)范围内)则归入同一类别这种归类方式会导致实际预测结果与真实类别之间的误差显著增加三是通过引入置信区间范围的概念能够有效减少预测结果的波动性例如将判别阈值从固定值提升至包含一个置信区间范围
5.彩蛋
目前我们仅专注于良性和恶性的区分研究,在数据集分类中将良性和恶性进一步划分为四类:
