医学图像处理
一、图像分割
进行图像分割是前期工作的重点内容。该系统主要依赖现成的软件工具来实现图像分割目标:3DMed(中国科学院自动化医学图像处理研究所)。
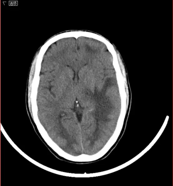
该软件整合了六种分割算法插件,并根据官方文档的说明指出区域生长算法特别适用于分割微小结构如肿瘤及烧结 scar。以下是通过3DMed加载的原始29189000016.dcm图像:

原始图像
下面是使用区域生长算法对肿瘤的分割结果:

分割结果
其中Different Value和Change Value为控制区域增长的两个变量,在实验中发现将它们设置为2和10时具有较好的扩展性能。
下面是分割后的保存结果:
3DMed中会自动将结果文件名保存为29189000016_segmented.dcm。

保存结果
但是该算法依赖于人工干预来获得初始种子节点,在自动化水平上存在局限性。
同时在处理具有噪声的情况下(即当输入数据中存在干扰或异常值时)该方法可能难以准确提取所需区域
二、特征提取
特征提取主要是从图像分割后的区域中提取能够反映该区域特性的各种数据,并对这些数据进行分析与处理;这一步骤则主要针对分割后的区域展开了多方面的探索
- Matlab
通过MATLAB实现对常见统计数据特征的提取,在这一过程中能够有效获取一阶统计量(主要表征兴趣区域内的各加速参数分布情况),其中这一过程通常基于直方图来进行数据分布分析)。在具体应用中,在MATLAB环境中可采用以下方式简要展示相关区域特性:
l 周长:区域边界的长度, 即位于区域边界上的像素数目.
l 面积:, 区域中的像素总数.
l 致密性:(周长) 2/面积.
l 区域的质心.
l 灰度均值: 区域中所有像素的平均值.
l 灰度中值: 区域中所有像素的排序中值.
l 包含区域的最小矩形.
l 最小或最大灰度级.
l 大于或小于均值的像素数.
l 欧拉数: 区域中的对象数减去这些对象的孔洞数。
在MATLAB中,regionprops(L, properties)函数可用于统计区域描绘特征。为了实现这一目标,我们首先使用bwlabel(I, n)对图像I执行n(4或者8)连通标记,并随后利用regionprops()完成统计计算。
- Mazda
Mazda是一种用于图像纹理分析的工具;它能够自动提取图像中的特征;下面是使用Mazda加载分割好的结果:

加载结果
下面是对分割结果进行特征提取的结果:

特征提取
对于Feature name的表示现在还没有完全搞明白,正在研究。
Mazda还可以进行高级统计指标的提取(即为进一步增加了过滤机制),小波分析即为一种典型的高级统计方法,其结果如下所示:

小波分析
同时可以手动对Features进行feature selection,然后保存选择的结果。
