关于新冠肺炎(COVID-19)论文解读集合
这是基于COVID-19成像的AI研究论文的集合,并简单做个解读。论文主要来自:https://github.com/HzFu/COVID19_imaging_AI_paper_list
文章目录
-
- 1、A deep learning algorithm using CT images to screen forCorona Virus Disease (COVID-19)
- 2、COVID-Net: A Tailored Deep Convolutional Neural Network Design for Detection of COVID-19 Cases from Chest X-Ray Images
- 3、COVIDX-Net: A Framework of Deep Learning Classifiers to Diagnose COVID-19 in X-Ray Images
- 4、Automatic Detection of Coronavirus Disease (COVID-19) Using X-ray Images and Deep Convolutional Neural Networks
- 5、Deep Learning System to Screen Coronavirus Disease 2019 Pneumonia
- 6、Artificial Intelligence Distinguishes COVID-19 from Community Acquired Pneumonia on Chest CT
- 7、Lung Infection Quantification of COVID-19 in CT Images with Deep Learning
1、A deep learning algorithm using CT images to screen forCorona Virus Disease (COVID-19)
基于CT图像的冠状病毒病(COVID-19)深度学习算法,论文来自我国的肿瘤研究所和几家医院,地址:https://www.medrxiv.org/content/10.1101/2020.02.14.20023028v5
数据集 :99个患者的CT图(3维),其中55是正常的肺炎,44个是新冠肺炎。来自我国3家医院数据,未公开。
方法 :
- 随机选择3维CT切片(roi)作为输入
- 训练CNN模型提取特征
- 全连通网络分类模型训练和多分类器预测

模型 :采用预训练Inception网络
结果 :AUC 0.9
2、COVID-Net: A Tailored Deep Convolutional Neural Network Design for Detection of COVID-19 Cases from Chest X-Ray Images
COVID-Net:一种定制的卷积神经网络,用于胸部x线图像检测COVID-19。(先把COVID-Net名字占着)
来自加拿大滑铁卢大学,地址:https://arxiv.org/abs/2003.09871
数据集 :https://github.com/lindawangg/COVID-Net/blob/master/docs/COVIDx.md

模型 (3分类):

结果:

同时论文还是用了GSInquire工具 来解释数据,什么是GSInquire:https://arxiv.org/abs/1910.07387v2,使用生成合成的方法来解释病灶的位置。(这部分没怎么看懂)

3、COVIDX-Net: A Framework of Deep Learning Classifiers to Diagnose COVID-19 in X-Ray Images
这是一篇来自埃及姆努菲亚大学,论文只是用了几个常见的分类网络做个二分类任务。
数据集:https://github.com/ieee8023/covid-chestxray-dataset (好像大家都在用这个数据集)
论文采用的数据集包括50张x线图像,分为25例正常病例和25例COVID-19阳性病例两类。(这也太少了吧)
方法 :各种分类器,VGG19,DenseNet201等
结果如下:(只能说样本太少,论文感觉是为了抢占时间写的,没什么多大意义的论文)

4、Automatic Detection of Coronavirus Disease (COVID-19) Using X-ray Images and Deep Convolutional Neural Networks
论文来自土耳其某大学(没听过)
数据集 :100张x光图(50正常,50肺炎),2分类
方法: InceptionV3、 ResNet50

**实验结果:**AUC=1 ?

点评:数据太少,方法没有创新,硬是凑成一篇论文
5、Deep Learning System to Screen Coronavirus Disease 2019 Pneumonia
这是来自浙江大学附属医院等论文,主要使用3D CNN来做3分类任务。
数据集: 自家的数据集,618张CT,其中219是新冠肺炎。
方法: 3D ResNet-18

效果:

点评: 算一个实验报告吧,看样子数据集不会公开,方法也没有创新
6、Artificial Intelligence Distinguishes COVID-19 from Community Acquired Pneumonia on Chest CT
论文来自武汉医院,当然数据集也是下载不到的。
数据集: 3,322个病人的4356 张CT图
方法 :用的是2D ResNet50,输入的CT一系列的切片。三分类任务

效果: COVID-19的AUC = 0.96, CAP 的AUC = 0.95
点评: 有数据,但是没有在方法上次进行创新
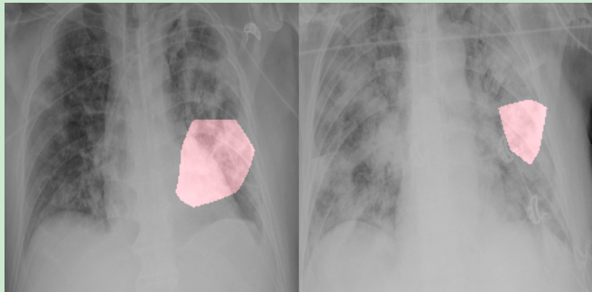
7、Lung Infection Quantification of COVID-19 in CT Images with Deep Learning
这篇来自上海交通大学,由沈定刚指导。主要是做3D CT分割,对感染区域进行分割。
数据集: 249名COVID-19患者进行训练,300名COVID-19患者进行验证。
方法: 提出了 VB-Net,主要是改进了V-Net。

细节部分为:

持续更新…
