眼底图像-血管检测
发布时间
阅读量:
阅读量
对眼底图像中心区进行血管的检测。用了HoughLinesP()直线检测法,附上执行时的三张图
代码如下:
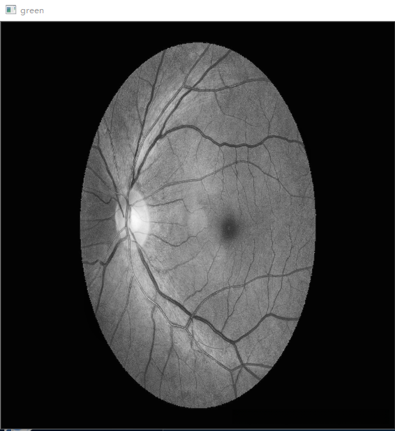
# 分离出 图像中心的绿色通道
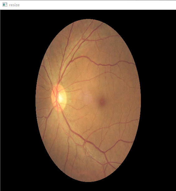
img_ori = cv2.imread('./dataset/1.jpg')
img_resized = cv2.resize(img_ori, (width, height), interpolation=cv2.INTER_CUBIC)
cv2.imshow('resize', img_resized )
b,g,r = cv2.split(img_resized)
# 进行 CLAHE 处理,提取绿色通道
clahe = cv2.createCLAHE(clipLimit=2.0, tileGridSize=(8, 8))
img_clahe_green = clahe.apply(g)
cv2.imshow('green', img_clahe_green)
# 检测图像绿色通道中的血管,画直线
line_detect_possible(img_clahe_green ,11)
代码解读
--------下面是血管检测函数 ------------------------
从整体图像中提取各个小窗口的图像部分,并通过调用OpenCV中的HoughLinesP函数来识别各个小窗口中的直线特征。随后,在整体图像上绘制这些检测到的直线。
比在整图中用HoughLinesP()检测效果好。
def line_detect_possible(img_src,size):
width = img_src.shape[0]
height = img_src.shape[1]
gaus = cv2.GaussianBlur(img_src, (3, 3), 0)
edges = cv2.Canny(gaus, 40, 230, apertureSize=3)
img_new1 = edges
line_num = 0
for i in range(0, width - size,size):
for j in range(0, height - size,size):
img_region_ij = img_new1[i:i + size, j:j + size] # 提取 小窗口内图像
# 函数将通过步长为1的半径和步长为π/180的角来搜索所有可能的直线
cv2.imshow("regionij", img_region_ij) # 调试时查看用,实际运行时删除。
lines = cv2.HoughLinesP(img_region_ij, 1, np.pi / 180, 5, minLineLength=5, maxLineGap=5)
if (lines is None) or (len(lines) == 0):
continue # 小窗口内无直线,继续到下一个窗口
else:
for x1, y1, x2, y2 in lines[0]:
line_num += 1
cv2.line(img_new1, (i+x1, j+y1), (i+x2, j+y2), (0, 255, 0), 2)
cv2.imshow("line1", img_new1)
return line_num
代码解读



全部评论 (0)
还没有任何评论哟~
