基于YOLO格式的脑部疾病(癫痫、脑中风)目标检测数据集
发布时间
阅读量:
阅读量
数据信息
图片总数:共计2646张图片。其中训练集包含1852张图像、验证集有529张图像、测试集则包含265张图像。标注文件格式:YOLO标记文件无需额外处理即可直接导入模型进行训练

类别信息
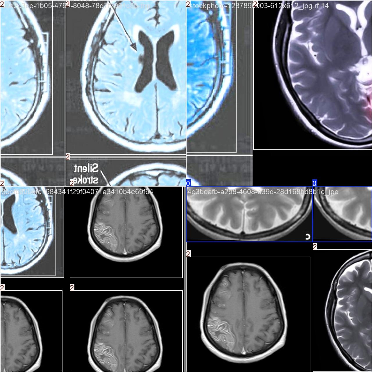
Category: Epileptic brain disorders, Category: Strokes are a form of brain disorders, Category: The functional integrity of the brain is normal
性能指标
模型的性能指标 mAP 、Precision 和 Recall 分别以蓝色、绿色和红色表示。所有指标均达到较高水平,并且能够反映出模型的综合性能具有卓越的表现。

模型性能评估与训练过程分析
1.训练过程相关
训练和验证指标曲线

呈现了训练与验证阶段损失曲线演变趋势(如Box Loss和Classification Loss)以及性能指标(如mAP、Precision与Recall)。 通过观察模型训练过程是否稳定即可判断其是否发生过拟合或欠拟合。
2.性能评估相关
Precision-Recall 曲线

该系统全面展现了模型在各类别上的分类效果(通过Precision与Recall的平衡实现)以及提供了mAP指标。
重点图表用于评估模型的整体性能及其表现。
3.分类细节分析
混淆矩阵

混淆矩阵在各类别间的分类情况进行了全面统计(包括正确识别和误判的情形)。
作为重要的分析手段,则用来全面研究分类表现及其存在的混淆问题。
目标检测训练数据可视化
在目标检测训练过程中,在数据可视化方面的结果显示了各分类目标的边界框及其对应标签。整体检测效果较为理想。然而,在当前阶段的基础上通过改进标注质量和强化模型训练能够进一步提高精确度与鲁棒性。

文件目录
Tipps:完整项目文件清单如下:

全部评论 (0)
还没有任何评论哟~
