VTK笔记——医学图像的可视化与交互(vtkImageViewer2)
发布时间
阅读量:
阅读量
在解析了医学图像数据之后,就需要将其展示出来并配合互动操作.三维数据经过平面化处理后实现二维呈现,并配合不同切面切换辅助医学分析.
vtkImageViewer2
该类提供了一个便捷易用的二维图像显示功能。它集成了一系列关键的VTK组件包括vtkRenderWindow vtkRender vtkImageActor以及vtkImageMapToWinowLevelColors这些组件为用户提供了一整套完整的功能架构。同时该软件支持基于vtkInteractorStyleImage的交互界面从而显著简化了数据展示与用户交互的过程。
3D医学图像的种类繁多,在除了传统的CT之外还有MRI、超声波和X-射线等技术,并且每种方法都有其独特的优势。
以下部分将介绍如何通过 DICOM 格式的医学影像数据进行处理。
在ITK框架中支持使用 DICOM 图像进行读取,并且 VTK 也同样提供了相应的功能模块。
例如,在ITK中可以通过 itk::ReadDicomImageFilter 实现这一功能;而 VTK 则可以通过 vtkDICOMImageReader 来完成同样的操作。
auto reader = vtkSmartPointer<vtkDICOMImageReader>::New();
reader->SetDirectoryName(argv[1]);
reader->Update();
请在配置中设置imageViewer的显示参数设置。该组件允许您定义切片参数用于指定三维数据的空间取向,并允许用户调节显示区域的尺寸、缩放比例因子以及定位参数等各项设置。
auto imageViewer = vtkSmartPointer<vtkImageViewer2>::New();
imageViewer->SetInputConnection(reader->GetOutputPort());
auto interactor = vtkSmartPointer<vtkRenderWindowInteractor>::New();
imageViewer->SetupInteractor(interactor);
imageViewer->SetSize(400, 400);
imageViewer->SetColorLevel(500);
imageViewer->SetColorWindow(1000);
imageViewer->SetSliceOrientationToXY(); // z-axis
imageViewer->GetRenderer()->SetBackground(1, 1, 1);
设置交互方式
auto myStyle = vtkSmartPointer<myVtkInteractorStyleImage>::New();
myStyle->SetImageViewer(imageViewer);
interactor->SetInteractorStyle(myStyle);
自定义交互方式
该设置为默认模式;为实现通过鼠标滚轮操作切换切片的效果,我们进行了如下配置。
class myVtkInteractorStyleImage : public vtkInteractorStyleImage
{
public:
static myVtkInteractorStyleImage* New();
vtkTypeMacro(myVtkInteractorStyleImage, vtkInteractorStyleImage);
protected:
vtkImageViewer2* ImageViewer;
int Slice;
int MinSlice;
int MaxSlice;
public:
void SetImageViewer(vtkImageViewer2* imageViewer)
{
this->ImageViewer = imageViewer;
this->MinSlice = imageViewer->GetSliceMin();
this->MaxSlice = imageViewer->GetSliceMax();
this->Slice = (this->MinSlice + this->MaxSlice) / 2;
this->ImageViewer->SetSlice(this->Slice);
this->ImageViewer->Render();
}
protected:
virtual void OnMouseWheelForward()
{
if (this->Slice < this->MaxSlice)
{
this->Slice += 1;
this->ImageViewer->SetSlice(this->Slice);
this->ImageViewer->Render();
}
}
virtual void OnMouseWheelBackward()
{
if (this->Slice > this->MinSlice)
{
this->Slice -= 1;
this->ImageViewer->SetSlice(this->Slice);
this->ImageViewer->Render();
}
}
};
vtkStandardNewMacro(myVtkInteractorStyleImage);
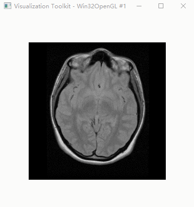
效果
脑部CT图像

DisplayDICOMSeries. cxx
#include "vtkSmartPointer.h"
#include "vtkObjectFactory.h"
#include "vtkRenderWindow.h"
#include "vtkGenericRenderWindowInteractor.h"
#include "vtkRenderer.h"
#include "vtkActor.h"
#include "vtkDICOMImageReader.h"
#include "vtkImageViewer2.h"
#include "vtkInteractorStyleImage.h"
class myVtkInteractorStyleImage : public vtkInteractorStyleImage
{
public:
static myVtkInteractorStyleImage* New();
vtkTypeMacro(myVtkInteractorStyleImage, vtkInteractorStyleImage);
protected:
vtkImageViewer2* ImageViewer;
int Slice;
int MinSlice;
int MaxSlice;
public:
void SetImageViewer(vtkImageViewer2* imageViewer)
{
this->ImageViewer = imageViewer;
this->MinSlice = imageViewer->GetSliceMin();
this->MaxSlice = imageViewer->GetSliceMax();
this->Slice = (this->MinSlice + this->MaxSlice) / 2;
this->ImageViewer->SetSlice(this->Slice);
this->ImageViewer->Render();
}
protected:
virtual void OnMouseWheelForward()
{
if (this->Slice < this->MaxSlice)
{
this->Slice += 1;
this->ImageViewer->SetSlice(this->Slice);
this->ImageViewer->Render();
}
}
virtual void OnMouseWheelBackward()
{
if (this->Slice > this->MinSlice)
{
this->Slice -= 1;
this->ImageViewer->SetSlice(this->Slice);
this->ImageViewer->Render();
}
}
};
vtkStandardNewMacro(myVtkInteractorStyleImage);
int main(int argc, char* argv[])
{
if (argc < 2)
{
std::cout << "Usage: " << argv[0] << " DicomDirectory" << std::endl;
return EXIT_FAILURE;
}
auto reader = vtkSmartPointer<vtkDICOMImageReader>::New();
reader->SetDirectoryName(argv[1]);
reader->Update();
auto imageViewer = vtkSmartPointer<vtkImageViewer2>::New();
imageViewer->SetInputConnection(reader->GetOutputPort());
auto interactor = vtkSmartPointer<vtkRenderWindowInteractor>::New();
imageViewer->SetupInteractor(interactor);
imageViewer->SetSize(400, 400);
imageViewer->SetColorLevel(500);
imageViewer->SetColorWindow(1000);
imageViewer->SetSliceOrientationToXY();
imageViewer->GetRenderer()->SetBackground(1, 1, 1);
auto myStyle = vtkSmartPointer<myVtkInteractorStyleImage>::New();
myStyle->SetImageViewer(imageViewer);
interactor->SetInteractorStyle(myStyle);
imageViewer->Render();
imageViewer->GetRenderer()->ResetCamera();
imageViewer->Render();
interactor->Start();
return EXIT_SUCCESS;
}
Reference
VTKExamples/Cxx/IO/ReadDICOMSeries

全部评论 (0)
还没有任何评论哟~
