基于YOLOv8深度学习的医学影像狭窄性血管造影自动检测系统
随着医学影像技术的快速发展,狭窄性血管病变的早期检测成为提高诊断效率和治疗效果的重要环节。为解决传统血管造影分析方法的主观性和效率低下的问题,本研究提出了一种基于YOLOv8深度学习算法的狭窄性血管造影自动检测系统。系统以PyQt5为前端界面,集成了数据预处理、模型训练和推理部署等功能。
首先,采用公开医学影像数据集和自定义标注的数据集对血管狭窄区域进行标注,生成高质量的训练样本。随后,通过优化YOLOv8网络架构和调整超参数,训练得到适应性强、精度高的检测模型。最后,基于PyQt5设计并实现用户友好的图形化界面,支持血管造影图像的上传、检测结果的可视化展示以及检测报告的自动生成。
实验结果表明,该系统在目标检测任务中表现优异,对血管狭窄区域的检测精度(mAP)达到了98.5%,检测速度满足实时性需求。与传统方法相比,本系统显著提高了检测效率,减少了误诊和漏诊风险,为医学影像辅助诊断提供了一种高效可靠的解决方案。未来,本系统有望扩展至多种医学影像分析领域,进一步推动智能诊断技术的发展。
算法流程
Tipps:深入解析项目的算法流程,逐步探索技术实现的核心逻辑。从数据加载与预处理开始,到核心算法的设计与优化,再到结果的可视化呈现,每一步都将以清晰的结构和简洁的语言展现,揭示技术背后的原理与实现思路。

项目数据
Tipps:通过搜集关于数据集为各种各样的狭窄性血管造影相关图像,并使用Labelimg标注工具对每张图片进行标注,分1检测类别,是’狭窄性血管造影’。
目标检测标注工具
(1)labelimg:开源的图像标注工具,标签可用于分类和目标检测,它是用python写的,并使用Qt作为其图形界面,简单好用(虽然是英文版的)。其注释以 PASCAL VOC格式保存为XML文件,这是ImageNet使用的格式。此外,它还支持 COCO数据集格式。
(2)安装labelimg 在cmd输入以下命令 pip install labelimg -i https://pypi.tuna.tsinghua.edu.cn/simple

结束后,在cmd中输入labelimg

初识labelimg

打开后,我们自己设置一下
在View中勾选Auto Save mode

接下来我们打开需要标注的图片文件夹

并设置标注文件保存的目录(上图中的Change Save Dir)
接下来就开始标注,画框,标记目标的label,然后d切换到下一张继续标注,不断重复重复。

Labelimg的快捷键

(3)数据准备
这里建议新建一个名为data的文件夹(这个是约定俗成,不这么做也行),里面创建一个名为images的文件夹存放我们需要打标签的图片文件;再创建一个名为labels存放标注的标签文件;最后创建一个名为 classes.txt 的txt文件来存放所要标注的类别名称。
data的目录结构如下:
│─img_data
│─images 存放需要打标签的图片文件
│─labels 存放标注的标签文件
└ classes.txt 定义自己要标注的所有类别(这个文件可有可无,但是在我们定义类别比较多的时候,最好有这个创建一个这样的txt文件来存放类别)
首先在images这个文件夹放置待标注的图片。
生成文件如下:

“classes.txt”定义了你的 YOLO 标签所引用的类名列表。

(4)YOLO模式创建标签的样式
存放标签信息的文件的文件名为与图片名相同,内容由N行5列数据组成。
每一行代表标注的一个目标,通常包括五个数据,从左到右依次为:类别id、x_center、y_center、width、height。
其中:
–x类别id代表标注目标的类别;
–x_center和y_center代表标注框的相对中心坐标;
–xwidth和height代表标注框的相对宽和高。
注意:这里的中心点坐标、宽和高都是相对数据!!!

存放标签类别的文件的文件名为classes.txt (固定不变),用于存放创建的标签类别。
完成后可进行后续的yolo训练方面的操作。
硬件环境
我们使用的是两种硬件平台配置进行系统调试和训练:
(1)外星人 Alienware M16笔记本电脑:

(2)惠普 HP暗影精灵10 台式机:

上面的硬件环境提供了足够的计算资源,能够支持大规模图像数据的训练和高效计算。GPU 的引入显著缩短了模型训练时间。
使用两种硬件平台进行调试和训练,能够更全面地验证系统的性能、适应性和稳定性。这种方法不仅提升了系统的鲁棒性和泛化能力,还能优化开发成本和效率,为实际应用场景的部署打下良好基础。
模型训练
Tipps:模型的训练、评估与推理
1.YOLOv8的基本原理
YOLOv8是一个SOTA模型,它建立在Yolo系列历史版本的基础上,并引入了新的功能和改进点,以进一步提升性能和灵活性,使其成为实现目标检测、图像分割、姿态估计等任务的最佳选择。其具体创新点包括一个新的骨干网络、一个新的Ancher-Free检测头和一个新的损失函数,可在CPU到GPU的多种硬件平台上运行。

YOLOv8是Yolo系列模型的最新王者,各种指标全面超越现有对象检测与实例分割模型,借鉴了Yolov5、Yolov6、YoloX等模型的设计优点,在全面提升改进Yolov5模型结构的基础上实现,同时保持了Yolov5工程化简洁易用的优势。
Yolov8模型网络结构图如下图所示:

2.数据集准备与训练
本研究使用了包含狭窄性血管造影图像目标的数据集,并通过 Labelimg 标注工具对每张图像中的目标边界框(Bounding Box)及其类别进行标注。基于此数据集,采用 YOLOv8n 模型进行训练。训练完成后,对模型在验证集上的表现进行了全面的性能评估与对比分析。整个模型训练与评估流程包括以下步骤:数据集准备、模型训练、模型评估。本次标注的目标类别主要集中于狭窄性血管造影图像目标。数据集总计包含 8325 张图像,具体分布如下:
训练集:6244 张图像,用于模型学习和优化。
验证集:1665 张图像,用于评估模型在未见过数据上的表现,防止过拟合。
测试集:416 张图像,用于最终评估模型的泛化能力。
数据集分布直方图
以下柱状图展示了训练集、验证集和测试集的图像数量分布:

部分数据集图像如下图所示:

部分标注如下图所示:

这种数据分布方式保证了数据在模型训练、验证和测试阶段的均衡性,为 YOLOv8n 模型的开发与性能评估奠定了坚实基础。
图片数据的存放格式如下,在项目目录中新建datasets目录,同时将检测的图片分为训练集与验证集放入datasets目录下。

接着需要新建一个data.yaml文件,用于存储训练数据的路径及模型需要进行检测的类别。YOLOv8在进行模型训练时,会读取该文件的信息,用于进行模型的训练与验证。
data.yaml的具体内容如下:

这个文件定义了用于模型训练和验证的数据集路径,以及模型将要检测的目标类别。
数据准备完成后,通过调用train.py文件进行模型训练,epochs参数用于调整训练的轮数,batch参数用于调整训练的批次大小(根据内存大小调整,最小为1)。
CPU/GPU训练代码如下:

加载名为 yolov8n.pt 的预训练YOLOv8模型,yolov8n.pt是预先训练好的模型文件。
使用YOLO模型进行训练,主要参数说明如下:
(1)data=data_yaml_path: 指定了用于训练的数据集配置文件。
(2)epochs=150: 设定训练的轮数为150轮。
(3)batch=4: 指定了每个批次的样本数量为4。
(4)optimizer=’SGD’):SGD 优化器。
(7)name=’train_v8′: 指定了此次训练的命名标签,用于区分不同的训练实验。
3.YOLOv8模型训练结果与性能评估
在深度学习的过程中,我们通常通过观察损失函数下降的曲线来了解模型的训练情况。对于 YOLOv8 模型的训练,主要涉及三类损失:定位损失(box_loss)、分类损失(cls_loss)以及动态特征损失(dfl_loss)。这些损失的优化是提升目标检测性能的关键。
损失函数作用说明:
(1)定位损失 (box_loss):表示预测框与标定框之间的误差(GIoU),越小表示定位越准确。
(2)分类损失 (cls_loss):用于衡量锚框与对应的标定分类是否正确,越小表示分类越准确。
(3)动态特征损失 (dfl_loss):DFLLoss用于回归预测框与目标框之间的距离,并结合特征图尺度进行调整,最终提高目标检测的定位准确性。
训练和验证结果文件存储:
训练完成后,相关的训练过程和结果文件会保存在 runs/ 目录下,包括:

(1)损失曲线图(Loss Curves)
(2)性能指标曲线图(mAP、精确率、召回率)
(3)混淆矩阵(Confusion Matrix)
(4)Precision-Recall (P-R) 曲线
损失曲线(Loss Curve)和性能指标分析:

训练指标:
train/box_loss:
描述:表示训练过程中边界框回归损失(Box Loss)的变化趋势。
趋势:随着训练轮次增加,损失值逐渐降低,表明模型对边界框的定位能力在不断提高,最终接近收敛。
train/cls_loss:
描述:表示训练过程中类别分类损失(Classification Loss)的变化趋势。
趋势:损失值迅速下降,最终趋于平稳,说明模型的分类能力在逐渐提升。
train/dfl_loss:
描述:表示分布焦点损失(Distribution Focal Loss)的变化趋势,用于边界框分布的精确度优化。
趋势:类似其他损失,呈下降趋势并最终收敛,表示模型的边界框回归预测质量在提升。
验证指标:
val/box_loss:
描述: 表示验证集上边界框损失(Box Loss)的变化趋势。
趋势:损失值逐渐下降,最终稳定,说明模型在验证集上的边界框预测能力与训练集相符。
val/cls_loss:
描述: 表示验证集上类别分类损失(Classification Loss)的变化趋势。
趋势:损失迅速下降,最终稳定在较低值,表明模型分类能力在验证集中也较优。
val/dfl_loss:
描述: 表示验证集上分布焦点损失(DFL Loss)的变化趋势。
趋势:类似训练集,逐渐降低并收敛,验证集性能与训练集性能一致。
性能指标:
metrics/precision(B):
描述: 表示模型在训练集上的精度(Precision)变化趋势。
趋势: 随着轮次增加,精度逐步提升并趋于稳定,最终接近1.0,表明模型误检率较低。
metrics/recall(B):
描述: 表示模型在训练集上的召回率(Recall)变化趋势。
趋势: 召回率逐渐提升并趋于稳定,接近1.0,表明模型漏检率较低。
metrics/mAP50(B):
描述: 表示验证集上 IoU ≥ 50% 时的平均精度(mAP@50)。
趋势: 随着训练轮次增加,mAP显著提升并趋于稳定,接近1.0,说明模型在验证集上的检测能力非常优异。
metrics/mAP50-95(B):
描述: 表示验证集上 IoU 从 50% 到 95% 时的综合平均精度(mAP@50-95)。
趋势: 呈现平稳上升趋势,但最终值低于mAP50,表明在更严格IoU要求下,模型性能稍有下降。
总结:
(1)总体趋势:所有损失指标均稳定下降,精确率、召回率和 mAP 指标逐渐上升并接近饱和,表明模型在训练和验证集上均表现出良好的收敛性。
(2)验证集与训练集一致性:验证集上的趋势与训练集基本一致,说明模型没有明显的过拟合现象。
Precision-Recall(P-R)曲线分析:

曲线说明:
蓝色曲线 (all classes 0.985 mAP@0.5):
(1)含义:代表所有类别的平均精度(Precision)和召回率(Recall)的整体关系。
(2)指标:mAP@0.5 = 0.985,表示在 IoU 阈值为 0.5 时,模型的平均精度达到了 98.5%,说明模型整体性能非常高。
浅蓝色曲线 (Stenosis 0.985):
(1)含义:单独针对“Stenosis”(狭窄)类别的精度和召回率关系。
(2)指标:其性能与整体性能一致,mAP = 0.985,表明该类别的检测性能与所有类别的平均表现几乎相同。
总结:
模型对目标(特别是“Stenosis”类别)具有高精度和高召回能力,在不同阈值下的检测性能非常稳定。
混淆矩阵 (Confusion Matrix) 分析
混淆矩阵是用于评估分类模型性能的重要工具,它显示了模型在每一类别上的预测结果与实际情况的对比。

结论:
该模型对 “Stenosis” 检测具有较高的精确度和召回率,能够很好地完成任务,但仍需对漏检和误检案例进行进一步优化以提升泛化性能。
4.检测结果识别
模型训练完成后,我们可以得到一个最佳的训练结果模型best.pt文件,在runs/train/weights目录下。我们可以使用该文件进行后续的推理检测。
imgTest.py 图片检测代码如下:

加载所需库:
(1)from ultralytics import YOLO:导入YOLO模型类,用于进行目标检测。
(2)import cv2:导入OpenCV库,用于图像处理和显示。
加载模型路径和图片路径:
(1)path = ‘models/best.pt’:指定预训练模型的路径,这个模型将用于目标检测任务。
(2)img_path = “TestFiles/imagetest.jpg”:指定需要进行检测的图片文件的路径。
加载预训练模型:
(1)model = YOLO(path, task=’detect’):使用指定路径加载YOLO模型,并指定检测任务为目标检测 (detect)。
(2)通过 conf 参数设置目标检测的置信度阈值,通过 iou 参数设置非极大值抑制(NMS)的交并比(IoU)阈值。
检测图片:
(1)results = model(img_path):对指定的图片执行目标检测,results 包含检测结果。
显示检测结果:
(1)res = results[0].plot():将检测到的结果绘制在图片上。
(2)cv2.imshow(“YOLOv8 Detection”, res):使用OpenCV显示检测后的图片,窗口标题为“YOLOv8 Detection”。
(3)cv2.waitKey(0):等待用户按键关闭显示窗口
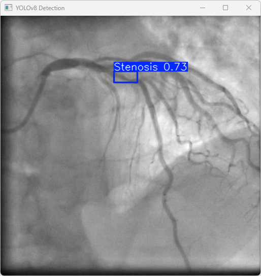
执行imgTest.py代码后,会将执行的结果直接标注在图片上,结果如下:

这段输出是基于YOLOv8模型对图片“imagetest.jpg”进行检测的结果,具体内容如下:
图像信息:
(1)处理的图像路径为:TestFiles/imagetest.jpg。
(2)图像尺寸为640×640像素。
检测结果:
(1)模型在图片中检测到:1 个Stenosis(狭窄性血管病变)。
处理速度:
(1)预处理时间: 5.0 毫秒
(2)推理时间: 6.2 毫秒
(3)后处理时间: 98.6毫秒
总结:
YOLOv8模型成功检测出1个狭窄性血管目标,推理速度高效,结果保存在指定目录,可进一步优化后处理速度和泛化性能。
运行效果
– 运行 MainProgram.py

1.主要功能:
(1)可用于实时检测目标图片中的狭窄性血管造影检测;
(2)支持图片、视频及摄像头进行检测,同时支持图片的批量检测;
(3)界面可实时显示目标位置、目标总数、置信度、用时等信息;
(4)支持图片或者视频的检测结果保存。
2.检测结果说明:

(1)置信度阈值:当前设置为0.25,表示检测系统只会考虑置信度高于25%的目标进行输出,置信度越高表示模型对检测结果的确信度越高。
(2)交并比阈值:当前设置为0.70,表示系统只会认为交并比(IoU)超过70%的检测框为有效结果。交并比是检测框与真实框重叠区域的比值,用于衡量两个框的相似程度,值越高表明重叠程度越高。
这两个参数通常用于目标检测系统中,调整后可以影响模型的检测精度和误检率。
这张图表显示了基于YOLOv8模型的目标检测系统的检测结果界面。以下是各个字段的含义解释:

用时(Time taken):
(1)这表示模型完成检测所用的时间为0.012秒。
(2)这显示了模型的实时性,检测速度非常快。
目标数目(Number of objects detected):
(1)检测到的目标数目为1,表示这是当前检测到的第1个目标。
目标选择(下拉菜单):全部:
(1)这里有一个下拉菜单,用户可以选择要查看的目标类型。
(2)在当前情况下,选择的是“全部”,意味着显示所有检测到的目标信息。

结果(Result):“狭窄血管”,表示系统正在高亮显示检测到的“Stenosis”。
置信度(Confidence):
(1)这表示模型对检测到的目标属于“狭窄血管”类别的置信度为70.17%。
(2)置信度反映了模型的信心,置信度越高,模型对这个检测结果越有信心。
目标位置(Object location):
(1)xmin: 103, ymin: 565:目标的左上角的坐标(xmin, ymin),表示目标区域在图像中的位置。
(2)xmax: 633, ymax: 147:目标的右下角的坐标(xmax, ymax),表示目标区域的边界。
这些坐标表示在图像中的目标区域范围,框定了检测到的“狭窄血管”的位置。
这张图展示了狭窄血管检测的一次检测结果,包括检测时间、检测到的种类、各行为的置信度、目标的位置信息等。用户可以通过界面查看并分析检测结果,提升狭窄血管目标检测的效率。
3.图片检测说明


点击打开图片按钮,选择需要检测的图片,或者点击打开文件夹按钮,选择需要批量检测图片所在的文件夹。
操作演示如下:
(1)点击目标下拉框后,可以选定指定目标的结果信息进行显示。
(2)点击保存按钮,会对检测结果进行保存,存储路径为:save_data目录下。
检测结果:系统识别出图片中的狭窄血管图像目标情况,并显示检测结果,包括总目标数、用时、目标类型、置信度、以及目标的位置坐标信息。
4.视频检测说明

点击视频按钮,打开选择需要检测的视频,就会自动显示检测结果,再次点击可以关闭视频。
点击保存按钮,会对视频检测结果进行保存,存储路径为:save_data目录下。
检测结果:系统对视频进行实时分析,检测到狭窄血管图像目标并显示检测结果。表格显示了视频中多个检测结果的置信度和位置信息。
这个界面展示了系统对视频帧中的多目标检测能力,能够准确识别狭窄血管图像目标,并提供详细的检测结果和置信度评分。
5.摄像头检测说明

点击打开摄像头按钮,可以打开摄像头,可以实时进行检测,再次点击,可关闭摄像头。
检测结果:系统连接摄像头进行实时分析,检测到狭窄血管图像并显示检测结果。实时显示摄像头画面,并将检测到的行为位置标注在图像上,表格下方记录了每一帧中检测结果的详细信息。
6.保存图片与视频检测说明

点击保存按钮后,会将当前选择的图片(含批量图片)或者视频的检测结果进行保存。
检测的图片与视频结果会存储在save_data目录下。
保存的检测结果文件如下:

图片文件保存的csv文件内容如下,包括图片路径、目标在图片中的编号、目标类别、置信度、目标坐标位置。
注:其中坐标位置是代表检测框的左上角与右下角两个点的x、y坐标。

(1)图片保存

(2)视频保存

– 运行 train.py
1.训练参数设置

(1)data=data_yaml_path: 使用data.yaml中定义的数据集。
(2)epochs=150: 训练的轮数设置为150轮。
(3)batch=4: 每个批次的图像数量为4(批次大小)。
(4)name=’train_v8′: 训练结果将保存到以train_v8为名字的目录中。
(5)optimizer=’SGD’: 使用随机梯度下降法(SGD)作为优化器。
虽然在大多数深度学习任务中,GPU通常会提供更快的训练速度。
但在某些情况下,可能由于硬件限制或其他原因,用户需要在CPU上进行训练。
温馨提示:在CPU上训练深度学习模型通常会比在GPU上慢得多,尤其是像YOLOv8这样的计算密集型模型。除非特定需要,通常建议在GPU上进行训练以节省时间。
2.训练日志结果

这张图展示了使用YOLOv8进行模型训练的详细过程和结果。
训练总时长:
(1)模型在训练了150轮后,总共耗时5.121小时。
(2)本次训练使用了 NVIDIA GeForce RTX 4070 Ti SUPER,显存16GB。
(3)表现出较高的训练效率,得益于YOLOv8模型的优化设计和高性能硬件的支持。
验证结果:
(1)mAP50(平均精度,IoU阈值为0.5):0.985
(2)mAP50-95(平均精度,IoU阈值为0.5到0.95):0.506
速度:
(1)预处理时间:0.4ms
(2)推理时间:1.8ms
(3)后处理时间:1.1ms
(4)总推理速度:每张图像约 3.3ms,表明模型非常适合实时检测任务。
结果保存:
(1)Results saved to runs\detect\train_v8:验证结果保存在 runs\detect\train_v8 目录下。
完成信息:
(1)Process finished with exit code 0:表示整个验证过程顺利完成,没有报错。
总结:
(1)模型收敛性和检测性能优异,特别是在 mAP50 和推理速度方面达到了理想效果。
(2)对于更严格的IoU指标(如mAP50-95)和复杂场景,模型仍有一定提升空间。
(3)训练过程中使用了高性能硬件,支持大规模数据的快速训练。
