医学图像影像目标检测数据集汇总
本文中所有的数据集皆为:公共可用数据集,并非用于侵犯他人隐私。如发现未经授权使用,请及时联系。
由两部分构成的医学图像目标检测数据集
本文中有一部分数据集源自:roboflow.com,这是一家专注于目标检测项目的专门数据集合。
想要获取现成的文中数据集或参与相关研究,请关注以下领域:涉及医学图像数据转换、病灶分类、分割与检测的技术研究;包括半监督学习、弱监督学习、自监督学习及对比学习等方法的研究;以及探索医学图像多模态融合的技术方法。如有兴趣,请添加微信:zhangxiaoyu_1992
目录
一:肺炎数据集
1、RSNA Pneumonia Detection Challenge (2018)
2、SIIM-FISABIO-RSNA COVID-19
3、天池CT肺部数据集
二:脑部数据集
1、TCGA
2、Brats2018多模态脑部数据集
3、Brain-tumor
三、息肉数据集
四、细胞类数据集
1、红细胞数据集
2、神经细胞数据集
五、乳腺结节检测数据集
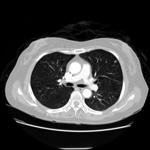
一:肺炎数据集
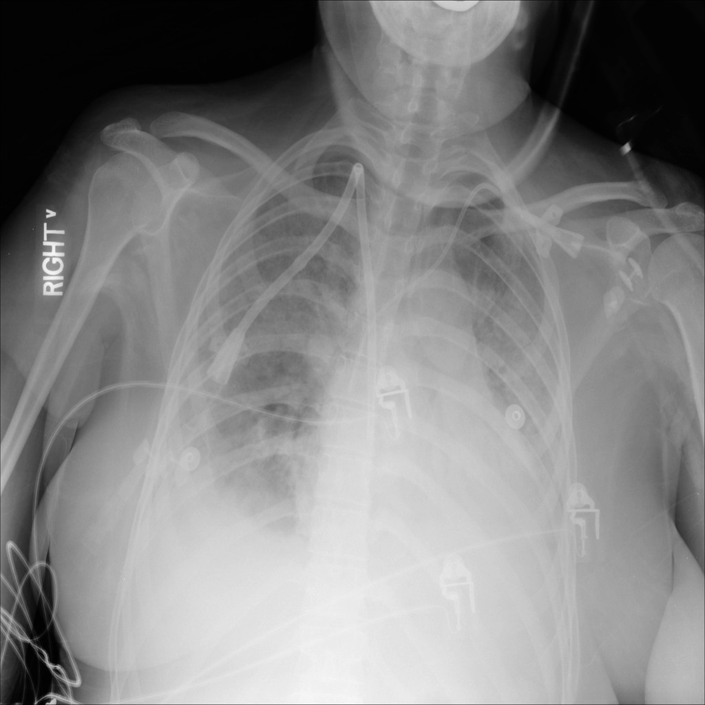
1、RSNA Pneumonia Detection Challenge (2018)
RSNA Pneumonia Detection Challenge (2018)
由放射学会国家联盟于2018年发起的RSNA Pneumonia Detection Challenge旨在推动自动化肺炎检测技术的进步与应用。该挑战提供了一个包含约30,000份患者胸部X光片的数据集,并对其中每张图片都进行了标注以确定是否存在肺结核情况。这些来自不同医疗中心的影像资料涵盖了多种X光成像系统与设备的应用场景
在完成处理后,并对图像进行肺炎标注的目标检测数据集中共有6012张图像被分类为病变区域。


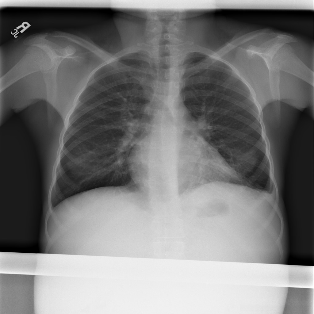
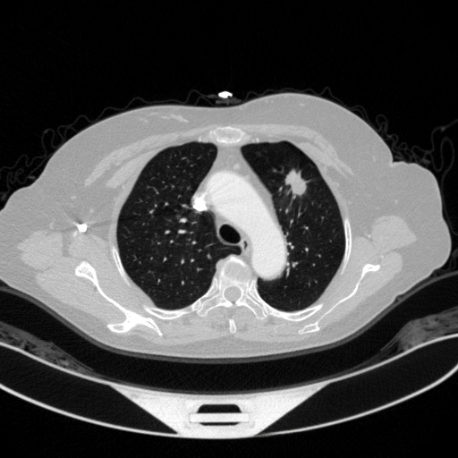
2、SIIM-FISABIO-RSNA COVID-19
数据集相关信息Link:SIIM-FISABIO-RSNA COVID-19 Detection
SIIM-FISABIO-RSNA COVID-19 数据集是一个专为 𝛄𝛄𝛄 疫情做出响应的服务性医学影像数据库项目。该项目由 𝛄𝛄𝛄、 𝛄𝛄𝟀 和 𝛄𝟀𝟀𝟀 三个组织共同推出,旨在推动全球研究人员对 𝛄𝟀𝟀 病毒相关肺部病变的认识与研究工作。该数据库整合了来自全球不同医疗体系中的胸部 CT 成像资料,其中包括确诊感染 𝛄𝟀𝟀 病毒及健康对照组患者的影像资料。所有影像通过匿名化处理,以确保患者隐私不受侵犯。在数据库中,每张影像均被详细标注出是否存在 𝛄𝟀𝟀 病毒相关病变,以及病变的具体位置与类型等关键信息,从而为研究人员提供了丰富的研究资源
处理好后的VOC格式的数据集图像总数为5812张,类型标签为病灶区域。


3、天池CT肺部数据集


处理好后的VOC格式的数据集图像总数为1972张,类型标签为病灶区域。
二:脑部数据集
1、TCGA
该研究项目由多方协作完成。其目标是通过基因组研究来探索癌症的多样性。其核心内容是关于各种类型脑部肿瘤的详细信息。包含了丰富的基因表达型、染色体异常及DNA甲基化特征等多种详细信息。以上列举了包括胶质母细胞瘤和 Brain膜瘤在内的多种典型病例。


处理好后的VOC格式的数据集图像总数为1168张,类型标签为病灶区域。
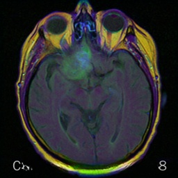
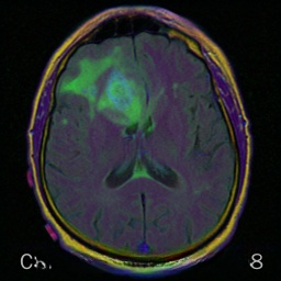
2、Brats2018多模态脑部数据集
Brats 数据集(Brain Tumor Segmentation Benchmark)是专门用于脑肿瘤分割任务的重要医学影像基准数据集。该数据集由来自多个不同医疗机构提供的多模态 MRI 扫描图像构成,并旨在促进脑肿瘤分割算法的研究与性能评估。该集合涵盖了四种不同的 MRI 模式:T1、T2、T1cecho 以及 Flair 成像技术下的高质量参考标注
数据处理方式为:采用分层切片法将3D图像数据经过分层切片处理得到二维图片,并接着使用分割标签来创建检测框。
经过良好处理后的VOC格式的数据集中,在图像中的单个模态中总计共有15,424张图像,其中类型标签主要集中在病灶区域,并且包含来自四个不同模态的VOC数据




3、Brain-tumor
该数据集最初由Yousef Ghanem创建。


处理好后的VOC格式的数据集图像的总数为9778张,类型标签为病灶区域。
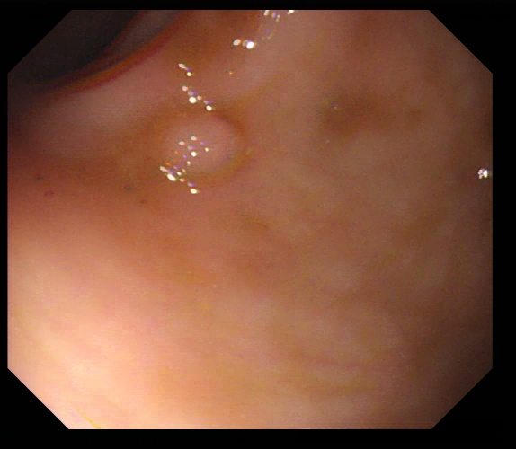
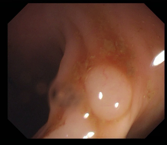
三、息肉数据集
1、ClinicDB : 这是一个开放的数据集,致力于提供高质量的结肠镜图像以及相应的结肠息肉标注. 该数据集旨在促进计算机辅助诊断(CAD)系统的研发,从而在临床环境中提高结肠息肉检测与分类的效率. 数据集中包含大量高清晰度的医学影像,并结合多模态标注信息,为相关领域的研究提供丰富的学习素材. 通过系统化的数据积累,ClinicDB不仅能够显著提升诊断准确性,还能为临床实践提供科学依据.


处理好后的COCO格式的数据集图像的总数为612张,类型标签为病灶区域。
该数据库专为结直肠癌早期筛查提供高质量医学影像数据。该数据库汇聚了丰富的高分辨率内窥镜影像。这些影像经过严格的质量控制流程,并被用来优化自动化诊断算法的性能。该数据库涵盖多种类型息肉及复杂内镜场景


处理好后的COCO格式的数据集图像的总数为380张,类型标签为病灶区域。
3、ETIS : ETIS(Eurecom Thermal Imaging and Segmentation)数据集旨在利用热成像技术实现结肠息肉的检测。该数据集提供了热成像图像,并对其中的相关结肠息肉进行了标注。这些标注内容有助于研究者进一步探索热成像技术在结肠息肉检测中的应用价值。


处理好后的COCO格式的数据集图像的总数为196张,类型标签为病灶区域。
4、Kvasir : 该医学影像数据集是由挪威癌症登记处与挪威放射学协会共同发起开发的。该数据集包含了大量CT扫描图像资料,并旨在促进对肺结节及结肠息肉的自动检测与分割研究。


处理好后的COCO格式的数据集图像的总数为1000张,类型标签为病灶区域。
四、细胞类数据集
1、红细胞数据集
BloodImage是一个专注于血细胞分析的医学影像数据集系统,在其中包含了大量高分辨率显微图像。这些图像详细描绘了各种血细胞类型如白细胞红细胞及血小板等典型形态特征。该数据集在自动化的血液参数测量与分类研究领域具有重要地位特别是在血液疾病诊断与治疗过程中的监测评估中发挥着不可替代的作用。BloodImage系统不仅提供了丰富的细胞标注信息包括具体的细胞类型位置坐标以及大小参数等关键指标这为研究人员开发与验证新的计算机视觉算法提供了可靠的数据支撑从而实现了对血细胞形态特征的精准测量与分类研究。此外该平台还覆盖了多个应用场景例如用于血液疾病筛查感染性疾病诊断以及癌症治疗中的血液分析工作为临床医学研究提供了一站式解决方案


经过良好处理后的VOC格式数据集图像总计410幅,并包含红细胞、白细胞及血小板三种类型的标签
2、神经细胞数据集


经过处理后的VOC格式的数据集中图像数量共计1422张,并采用分类标签对神经细胞的两个状态进行标记。
五、乳腺结节检测数据集
未完结
