DICOM 图像测量准确性研究之X-Ray Angiographic Image
1. 概要
DICOM标准(V3.0)得到了医疗设备生产商以及医疗界人士的普遍认可,在医疗设备领域得到了广泛应用。当前 DICOM 应用程序与分析软件日益增多地被应用于临床医学领域,在其中影像测量是一项不可或缺的重要功能。本文基于 DICOM 标准对 Modality 为 XA 的影像(即 X 射线血管造影图像)进行测量功能准确性进行分析研究。
2. DICOM标准中的X-Ray Angiographic Image信息
2.1. Composite Information Object Definitions(CIOD)
该表格遵循 DICOM 标准详细列出了 X-Ray Angiographic Image 所需的所有Modules信息。
| Modules | XA | description |
|---|---|---|
| Patient | M | This module specifies the Attributes of the Patient that describe and identify the Patient who is the subject of a Study. This Module contains Attributes of the Patient that are needed for interpretation of the Composite Instances and are common for all Studies performed on the Patient. It contains Attributes that are also included in the Patient Modules in Section C.2. |
| Clinical Trial Subject | U | This module contains Attributes that identify a Patient as a clinical trial or research Subject. |
| General Study | M | This module specifies the Attributes that describe and identify the Study performed upon the Patient. |
| Patient Study | U | This module defines Attributes that provide information about the Patient at the time the Study started. |
| Clinical Trial Study | U | This module contains Attributes that identify a Study in the context of a clinical trial or research. |
| General Series | M | This module specifies the Attributes that identify and describe general information about the Series within a Study. |
| Clinical Trial Series | U | This module contains Attributes that identify a Series in the context of a clinical trial or research. |
| Synchronization | U | This module specifies the Attributes necessary to uniquely identify a Frame of Reference that establishes the temporal relationship of SOP Instances. A synchronized environment may be established based on a shared time of day clock, and/or on a shared trigger event or synchronization waveform channel. |
| General Equipment | M | This module specifies the Attributes that identify and describe the piece of equipment that produced a Series of Composite Instances. |
| General Image | M | This module specifies the Attributes that identify and describe an image within a particular Series. |
| Image Pixel | M | This module describes the Image Pixel Module. |
| Contrast/Bolus | C | This module specifies the Attributes that describe the contrast /bolus used in the acquisition of the Image. |
| Cine | C | This module specifies the Attributes of a Multi-frame Cine Image. |
| Multi-frame | C | This module specifies the Attributes of a Multi-frame pixel data Image. |
| Frame Pointers | U | This module specifies the Attributes of a Frame Pointer Module. |
| Mask | C | This module specifies the Attributes that describe mask operations for a Multi-frame image. |
| Display Shutter | U | The Display shutter is a geometric mask consisting of one or more combined shapes that may be applied on the image for presentation purposes in order to neutralize the display of any of the pixels located outside of the shutter shape. Geometry of the shutter is specified with respect to a row and column coordinate system where the origin is the upper left hand pixel. This origin is specified by the values 1,1 for row/column. A row coordinate represents a row spacing (vertical) and a column coordinate represents a column spacing (horizontal). Up to three different shutter shapes may be used and superimposed. |
| Device | U | This module describes the Attributes of devices or calibration objects (e.g., catheters, markers, baskets) that are associated with a Study and/or image. |
| Intervention | U | This module describes the Attributes of therapies (e.g., interventions during an angiographic procedure) that are associated with a Study and/or image. |
| Specimen | U | This module specifies the Attributes that identify one or more Specimens being imaged. |
| X-Ray Image | M | X-Ray Image Module. |
| X-Ray Acquisition | M | X-Ray Acquisition Module. |
| X-Ray Collimator | U | An X-Ray Collimator is a device placed close to the X-Ray Source to restrict the span of the X-Ray beam. It is often made of lead shutters. This module presents in a graphical form its relationship with the Field Of View Dimensions (0018,1149). |
| X-Ray Table | C | This module contains Attributes that describe X-Ray images acquired with movement of the patient imaging table. |
| XA Positioner | M | This module contains IOD Attributes that describe a c-arm positioner typically used in acquiring X-Ray Angiographic Images. The coordinate system used to track the positioner is defined in reference to the patient. The definition of coordinates with respect to the equipment is not supported. Furthermore, this Module does not describe the movement of the patient. |
| DX Detector | U | This module contains IOD Attributes that describe a DX detector. |
| Overlay Plane | U | This module contains Attributes that describe characteristics of an Overlay Plane. |
| Multi-frame Overlay | C | This module specifies the Attributes of a Multi-frame overlay. |
| Modality LUT | C* | This module specifies the Attributes that describe the Modality LUT. |
| VOI LUT | U | This module specifies the Attributes that describe the VOI LUT. |
| Common Instance Reference | U | This module defines the Attributes that describe the hierarchical relationships of any SOP Instances referenced from other Modules within the Instance in which this Module occurs. |
| SOP Common | M | This module defines the Attributes that are required for proper functioning and identification of the associated SOP Instances. They do not specify any semantics about the Real-World Object represented by the IOD. |
| Frame Extraction | C | This module defines the Attributes that describe the frames extracted if the SOP Instance was created in response to a Frame-Level retrieve request. |
注释:在表格中,
M表示[Mandatory]类别,
C代表[Conditional]属性,
U则表示[UerOption]设置。
2.2. 与测量有关的校准(Calibration )信息
从X-Ray Angiographic Image的IOD中得到与测量校准有关的数据如下表:
| tag | name | module | description |
|---|---|---|---|
| (0018,1164) | Imager Pixel Spacing | X-Ray Acquisition | Physical distance measured at the front plane of the Image Receptor housing between the center of each pixel specified by a numeric pair - row spacing value(delimiter) column spacing value in mm. |
| (0018,1114) | Estimated Radiographic Magnification Factor | XA Positioner | Ratio of Source Image Receptor Distance (SID) over Source Object Distance (SOD). |
| (0028,0030) | Pixel Spacing | X-Ray Acquisition | Pixel Spacing (0028,0030) specifies the physical distance in the patient between the center of each pixel. |

3. 测量功能的逻辑分析
X射线源与病人的间距
注:IPS有效表示其标签及值都存在并且值大于等于PS的值
PS有效表示其标签及值都存在
ERMF有效表示其标签及值都存在
忽略表示不关心标签及值是否存在
| 测量准确度 | IPS | PS | ERMF | 测量结果 |
|---|---|---|---|---|
| Not calibrated: 未校准 | 无效 | 无效 | 忽略 | 无效的测量结果 |
| Calibrated: 设备校准 | 有效 | 有效 | 无效 | 依据设备校准的测量结果(更多是人为在设备上定标),使用PS进行测量计算 |
| Detector: 未校准 | 有效 | 无效 | 无效 | 比实际物理尺寸放大的测量结果,使用IPS进行测量计算 |
| Magnified: 使用ERMF校正的测量值 | 有效 | 无效 | 有效 | 依据设备校准的测量结果(没有人工参与定标,依据设备本身的参数),使用IPS和ERMF进行计算 |
| *Calibrated: 设备校准 | 无效 | 有效 | 忽略 | 依据设备校准的测量结果(更多是人为在设备上定标),但dicom影像数据存在异常,使用PS进行计算 |
| Calibrated manually: 手动校准 | 忽略 | 忽略 | 忽略 | 手动校准,准确度依据人工操作 |
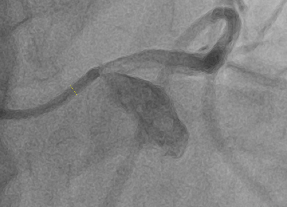
如果图像中包含具有明确尺寸的对象时,则可以通过手动定标的方法来修正测量结果。例如,在冠脉手术中通常会将造影导管放置至主动脉弓的开端处,在这种情况下该导管的标准尺寸是可以确定的;从而可以在图像中标量度该导管直径的具体数值并将其记录下来。

由于测量工具(导管)与检查对象处于同一空间位置(相对于射线源与探测器),这种校准方法具有最高的准确度。其准确性主要取决于操作人员的操作水平……通过合理的方法……使得误差降至最低……例如,在校准前将测量工具放大至足够清晰标记长度的位置进行观察比较,并在确认无误后执行正式校准步骤。
那么对于X-Ray Angiographic Image测量的校准数据使用逻辑顺序为:
1. 手动校准
2. 使用PS
3. 使用IPS及ERMF
4. 使用IPS
5. 无效,显示像素距离
4. 结论
在对X-Ray Angiographic Image类型影像 DICOM 标准进行分析后发现, 其图像测量结果具有不同的准确性标准, 因此需要根据第3节所述结论来规划软件功能模块, 以确保用户的测量信息一目了然.
